Clínica Friedländer nace de la inquietud de unir en un solo equipo profesionales honestos e implicados que se dedican en exclusiva a su especialidad y que aman su profesión. Nuestros pacientes son personas que valoran la calidad, que buscan profesionales altamente capacitados y buscan establecer un lazo de confianza para el cuidado de su salud dental.
Tratamiento con ortodoncia fija y microtornillos (Mordida abierta) – Caso 42

Tratamiento con ortodoncia fija y microtornillos (Mordida abierta) – Caso 42. Hoy presento un tratamiento de un paciente con mordida abierta que acude a nuestro centro para una primera visita. El paciente acude para pedir otra opinión tras recibir varios opiniones sobre su tratamiento que no le han convencido (planes de tratamiento como cirugía ortognática o extracciones o simplemente tratamiento con brackets de autoligado tipo Damon); además de la mordida abierta, el paciente presentó dolores de ATM (la articulación de la mandíbula).
La mordida abierta es una de las maloclusiones más complejas que existen, evidentemente varía en su grado y severidad; y por tanto la complejidad del tratamiento de ortodoncia. El tratamiento de la mordida abierta puede pasar por un tratamiento ortodóncico-quirúrgico, un tratamiento con extracciones de dientes, un tratamiento con elásticos anteriores (elásticos que sirven para cerrar la mordida) o como en nuestro caso con microtornillos. En mi opinión el tratamiento de una mordida abierta con elásticos verticales anteriores está contraindicado y no comparto esta filosofía de trabajo ya que a los pocos meses de retirar la ortodoncia, la mordida vuelve a abrirse con total seguridad por la lengua (incluso con la retención fija). El tratamiento de ortodoncia tiene que ir dirigido a la intrusión de los molares, movimiento que elimina los contactos de los molares y permite que se junten los dientes anteriores. El tratamiento de extracciones en muy pocas ocasiones puede ser correcto y necesario además retruye el perfil del paciente; y en cuanto a la cirugía ortognática, hay casos que el mejor tratamiento para cerrar la mordida abierta es el tratamiento combinado de ortodoncia y cirugía; y en estos casos interviene un cirujano maxilofacial.
Es muy importante hacer un estudio de ortodoncia minucioso para entender el origen de la mordida abierta antes de iniciar cualquier tratamiento. Normalmente existe una afectación esquelética (el hueso está deforme) que hay que corregir. La lengua del paciente es un factor recidivante muy importante a la hora de retener y mantener los resultados en el tiempo, por esa misma razón hay que aplicar un protocolo de retención diferente a estos casos; protocolo que describo más abajo en este artículo.
Fotos iniciales de la boca del paciente

Fotos iniciales del paciente
Después de estudiar el caso comentamos con el pacientes todas las opciones que tenemos para solucionar su maloclusión. Las opciones de tratamiento con cirugía ortognática o extracciones dentales fueron descartads ya que este caso se puede solucionar correctamente con microtornillos de anclaje. Para intruir los molares superiores y distalar ligeramente la arcada inferior, para mejorar el engranaje de la boca, se utilizan 4 microtornillos colcoados detras de cada muela (2 arriba y 2 abajo). Este tipo de tratamientos de ortodoncia pertence a un grupo de tratamientos que utilizan el anclaje distal con microtornillos para mover los dientes hacia donde nos convenga más. En este caso de clase II usamos anclaje distal para mover hacia atrás los molares superiores y en este caso de clase II con mordida abierta tratado con ortodoncia lingual usamos el anclaje distal con microtornillos para mover los molares superiores hacia arriba y hacia atrás lo que ayudo a cerrar la mordida abierta.
Después de unos 16 meses de tratamiento con brackets convencionales obtuvimos estos resultados

Resultados después de 16 meses con ortodocnia fija y microtornillos
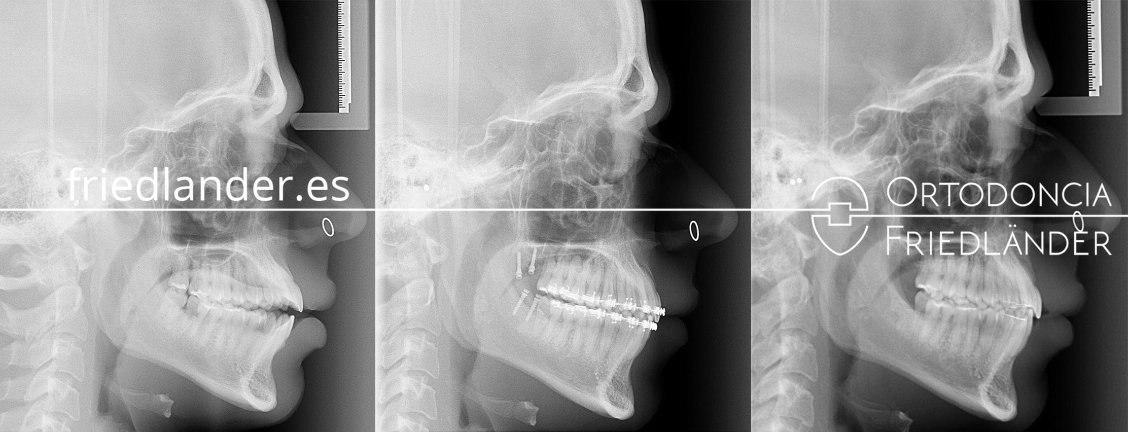
En la siguiente radiografía lateral inicial se puede observar la mordida abierta de unos 3mm (izquierda), en la radiografía lateral final (derecha) se puede observar una sobremordida de 3mm, es decir, hemos conseguido unos 6mm de movimiento vertical a nivel de los incisivos.

Radiografias laterales de antes durante y después del tratamiento.
La última fase de cada tratamiento de ortodoncia es la fase de retención. Cada caso requiere retención para que no hayan recaídas después del tratamiento. En las mordidas abierta es aun más necesarios y el protocolo es aun más estricto. Para la retención de casos de mordida abierta uso siempre una retención fija superior e inferior y además como refuerzo un aparato que se llama envelope de Bonnet con bloques de mordida posteriores. (se puede abrir la imagen del aparato haciendo clic en la imagen)

Envelope de Bonnet colocado en los modelos de trabajo, se puede observar que la lengua no puede tocar los dientes anteriores mientras el aparato este colocado.
El envelope lingual de Bonnet fue ideado como un «envoltorio» para la lengua, para su reeducación y la corrección de la deglución. El envelope impide que la lengua pueda tocar los dientes anteriores. Hemos modificado el envelope original añadiendo unos bloques de mordida para ayudar a mantener el movimiento de intrusión conseguido. Para resumir, este aparato modificado tiene doble función; evita que la lengua empuje los dientes y mantiene la intrusión molar conseguida con los microtornillos. Este aparato es muy comodo de llevar (requiere un pequeño periodo de adaptación) y se lleva solo para dormir, momento que la lengua ejerce mucha presión sobre los dientes anteriores de manera inconsciente.

Envelope colocado en boca, con boca cerrada
Detalle del envelope colocado en boca (con la boca abierta) se puede observar que la lengua no puede tocar los dientes anteriores

Envelope colocado en boca, con boca abierta
Comparación del antes y después del tratamiento

Antes y después del tratamiento
El laboratorio que nos prepara el envelope modificado es Clamadent en Barcelona.
Para terminar, podemos decir que hemos conseguido los objetivos deseados a nivel dental y el paciente nos comenta que está mordiendo de una manera más cómoda y está libre de dolor de la articulación.
Para cualquier consúlta llámanos al 938327281 o en nuestra nueva web.
Por: Clínica FriedlanderPaciente de 28 años de edad que presenta un ligero apiñamiento en la arcada inferior. La paciente nos comenta que quiere[...]
Por: Clínica Friedlander¡Descubre cómo lograr tu mejor sonrisa! Reserva una consulta ahora y transforma tu salud dental. Llámanos ahoraReserva una cita Tratamiento[...]
Por: Clínica FriedlanderEste caso es un retratamiento, es decir, un tratamiento de una recidiva de un antiguo tratamiento de ortodoncia. La paciente[...]
Por: Clínica FriedlanderTratamiento con ortodoncia fija y microtornillos (Mordida abierta) – Caso 42. Hoy presento un tratamiento de un paciente con mordida[...]
Por: Clínica FriedlanderPaciente de 12 años, acude con sus padres para «arreglarse la boca», presenta arcadas dentarias estrechas, apiñamiento moderado/severo y clase II (mandíbula[...]
Por: Clínica Friedlander¡Descubre cómo lograr tu mejor sonrisa! Reserva una consulta ahora y transforma tu salud dental. Llámanos ahoraReserva una cita Tratamiento[...]








No hay comentarios aún.