Clínica Friedländer nace de la inquietud de unir en un solo equipo profesionales honestos e implicados que se dedican en exclusiva a su especialidad y que aman su profesión. Nuestros pacientes son personas que valoran la calidad, que buscan profesionales altamente capacitados y buscan establecer un lazo de confianza para el cuidado de su salud dental.
Tratamiento con microtornillos (Apiñamiento, Clase II y sobremordida aumentada) – Caso 38

Caso 38 es la primera entrada en el blog de una serie de tratamientos que, usando microtornillos, conseguimos solucionar con una filosofía de tratamiento un poco diferente. Este es el caso de un paciente de 33 años que consulta para solucionar su problema dental.
Reserva una consulta ahora y transforma tu salud dental.

Tratamiento de 22 meses de distalización con microtornillos – solución de una clase II/2
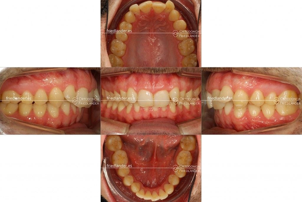
Al explorarlo clínicamente en la primera visita se observó que el problema más marcado es la clase II esquelética y dental (mandíbula retruída), una sobremordida aumentada y un apiñamiento dental ligero. El perfil del paciente era un perfil retrusivo con labios finos que no permitían más retrusión de los mismos. Un detalle importante es que los incisivos inferiores estaban protruidos o inclinados hacia adelante, este detalle es muy determinante en la decisión de qué tipos de movimientos podemos, o no, hacer con la ortodoncia.

Después de realizar el estudio de ortodoncia hemos barajado varias opciones de tratamiento. Una de las opciones fue solucionar la clase II avanzando la mandíbula con cirugía ortognática, opción que fue rechazada enseguida por el paciente. La otra opción era retraer o llevar hacia atras los dientes superiores, esto se puede hacer de dos maneras: mediante extracciones o distalando o llevando hacia atrás todos los dientes del maxilar. El tratamiento con 2 extracciones es más sencillo ortodóncicamente, pero «el peaje que paga» el paciente son 2 premolares superiores, hecho que no le hacía mucha gracia. El tratamiento de distalización con microtornillos es más complejo y tal vez más largo, pero el paciente se queda con todos sus diente sanos y salvos. Hemos decidido junto con el paciente realizar un tratamiento de distalización con microtornillos de los dientes superiores, el paciente escogió tratarse con brackets estéticos de cerámica.
Detalle de la localización de los microtornillos y el sentido de los movimientos de los dientes.
Con está técnica de distalización los microtornillos se colocan por detrás de las últimas muelas superiores. En la imagen de arriba se puede ver los microtornillos señalados por las flechas amarillas. El movimiento de los dientes hacia atrás está señalado por la flechas azules. Los microtornillos sirven de anclaje y en ellos nos apoyamos para mover hacia atrás los dientes suepriores.
Al cabo de 22 meses de tratamiento hemos conseguido una correcta clase I y el paciente estaba muy contento con los resultados.

Imagen del frente anterior y de boca abierta comparando el antes y el después.

Boca entreabierta.
Fotos del perfil del paciente.
Compración de antes y después del perfil. El perfil permanece sin cambios significativos.
[contacto]
Por: Clínica FriedlanderPaciente de 28 años de edad que presenta un ligero apiñamiento en la arcada inferior. La paciente nos comenta que quiere[...]
Por: Clínica Friedlander¡Descubre cómo lograr tu mejor sonrisa! Reserva una consulta ahora y transforma tu salud dental. Llámanos ahoraReserva una cita Tratamiento[...]
Por: Clínica FriedlanderEste caso es un retratamiento, es decir, un tratamiento de una recidiva de un antiguo tratamiento de ortodoncia. La paciente[...]
Por: Clínica Friedlander¡Descubre cómo lograr tu mejor sonrisa! Reserva una consulta ahora y transforma tu salud dental. Llámanos ahoraReserva una cita Tratamiento[...]
Por: Clínica FriedlanderPaciente de 12 años, acude con sus padres para «arreglarse la boca», presenta arcadas dentarias estrechas, apiñamiento moderado/severo y clase II (mandíbula[...]
Por: Clínica FriedlanderTratamiento con ortodoncia fija y microtornillos (Mordida abierta) – Caso 42. Hoy presento un tratamiento de un paciente con mordida[...]







No hay comentarios aún.