Clínica Friedländer nace de la inquietud de unir en un solo equipo profesionales honestos e implicados que se dedican en exclusiva a su especialidad y que aman su profesión. Nuestros pacientes son personas que valoran la calidad, que buscan profesionales altamente capacitados y buscan establecer un lazo de confianza para el cuidado de su salud dental.
Caso 2 Tratamiento con aparato de Herbst y ortodoncia fija convencional (Clase II severa)

Los pacientes con clase II presentan una maloclusión con una mandíbula pequeña y en posición retruida (la mandíbula esta hacia atrás) es decir es un problema del esquéleto facial, un problema de los huesos.
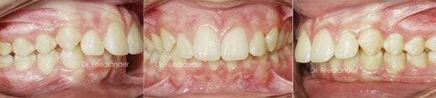
En este caso hicimos un avance mandibular ortopédico con el aparato de Herbst durante 9 meses y en la siguiente fase con ortodoncia fija (brackets) acabamos de encajar todos los dientes. Después de 18 meses de tratamiento se puede observar como encajan los dientes perfectamente.
En las imágenes de la oclusión antes del tratamiento, se puede ver como hay contactos de un diente contra un diente cuando lo correcto sería un diente contra dos dientes. La mandíbula está retruida y hay una sobremordida aumentada.

Después de 18 meses de tratamiento se puede ver que la mordida es mucho más armónica y el engranaje es bueno.

El cambio en el perfil es evidente ya que hemos avanzado la mandíbula.


[contacto]
Por: Clínica FriedlanderEste caso es un retratamiento, es decir, un tratamiento de una recidiva de un antiguo tratamiento de ortodoncia. La paciente[...]
Por: Clínica Friedlander¡Descubre cómo lograr tu mejor sonrisa! Reserva una consulta ahora y transforma tu salud dental. Llámanos ahoraReserva una cita Tratamiento[...]
Por: Clínica FriedlanderPaciente de 12 años, acude con sus padres para «arreglarse la boca», presenta arcadas dentarias estrechas, apiñamiento moderado/severo y clase II (mandíbula[...]
Por: Clínica FriedlanderTratamiento con ortodoncia fija y microtornillos (Mordida abierta) – Caso 42. Hoy presento un tratamiento de un paciente con mordida[...]
Por: Clínica Friedlander¡Descubre cómo lograr tu mejor sonrisa! Reserva una consulta ahora y transforma tu salud dental. Llámanos ahoraReserva una cita Tratamiento[...]
Por: Clínica FriedlanderPaciente de 28 años de edad que presenta un ligero apiñamiento en la arcada inferior. La paciente nos comenta que quiere[...]










No hay comentarios aún.