Clínica Friedländer nace de la inquietud de unir en un solo equipo profesionales honestos e implicados que se dedican en exclusiva a su especialidad y que aman su profesión. Nuestros pacientes son personas que valoran la calidad, que buscan profesionales altamente capacitados y buscan establecer un lazo de confianza para el cuidado de su salud dental.
Caso 3 Tratamiento con aparato de Herbst y ortodoncia fija convencional (Clase II y línea media desviada)

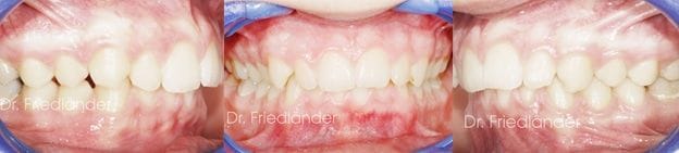
Paciente de 15 años que presentaba una sobremordida aumentada, línea media inferior desviada 3-4 mm hacia la derecha, clase II en el lado derecho (mordida en posición más posterior) y clase I en el izquierdo. Todo esto junto con la exploración facial indica que la mandíbula tiene crecimiento ligeramente asimétrico.
Mediante el aparato de Herbst durante 7 meses y ortodoncia fija (brackets) durante 11 meses adicionales conseguimos centrar la mandíbula y corregir la mordida posterior en el lado derecho consiguiendo clase I en los dos lados.
Imagen de antes del tratamiento

Detalle de la línea media inferior respeto a la superior marcadas por las lineas negras

Después de 18 meses. Imágenes finales del tratamiento

Comparación antes y después


Cambios en el perfil
[contacto]
Por: Clínica FriedlanderPaciente de 12 años, acude con sus padres para «arreglarse la boca», presenta arcadas dentarias estrechas, apiñamiento moderado/severo y clase II (mandíbula[...]
Por: Clínica FriedlanderEste caso es un retratamiento, es decir, un tratamiento de una recidiva de un antiguo tratamiento de ortodoncia. La paciente[...]
Por: Clínica Friedlander¡Descubre cómo lograr tu mejor sonrisa! Reserva una consulta ahora y transforma tu salud dental. Llámanos ahoraReserva una cita Tratamiento[...]
Por: Clínica FriedlanderTratamiento con ortodoncia fija y microtornillos (Mordida abierta) – Caso 42. Hoy presento un tratamiento de un paciente con mordida[...]
Por: Clínica FriedlanderPaciente de 28 años de edad que presenta un ligero apiñamiento en la arcada inferior. La paciente nos comenta que quiere[...]
Por: Clínica Friedlander¡Descubre cómo lograr tu mejor sonrisa! Reserva una consulta ahora y transforma tu salud dental. Llámanos ahoraReserva una cita Tratamiento[...]










No hay comentarios aún.