Clínica Friedländer nace de la inquietud de unir en un solo equipo profesionales honestos e implicados que se dedican en exclusiva a su especialidad y que aman su profesión. Nuestros pacientes son personas que valoran la calidad, que buscan profesionales altamente capacitados y buscan establecer un lazo de confianza para el cuidado de su salud dental.
Caso 5 Tratamiento con brackets convencionales y extracción de un incisivo inferior (Clase II)

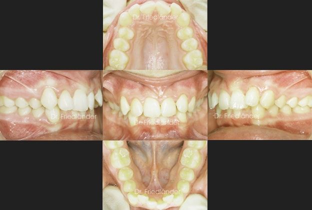
Paciente de 13 años con apiñamiento importante y unas encías muy delicadas, clase II en el lado derecho de la paciente, sobremordida aumentada. Fue tratada durante 14 meses con brackets convencionales.
Después de estudiar bien el caso he decidido junto con la paciente que la mejor opción es extraer un incisivo inferior y así generar espacio suficiente para alinear a todos los dientes y no perjudicar la encía o incluso mejorar el estado de las encías en la parte anterior de abajo. Si en este caso no se hubiera hecho una extracción los más probable es que habría terminado con recesiones gingivales en los caninos (colmillos).
Detalle de las encías tan delicadas:
se puede observar que las raíces de los colmillos y de algún incisivo casi se transparentan por la encía. (los círculos negro marcan la encía delicada)

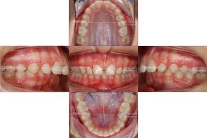
Se colocaron brackets convencionales y se hizo la extracción de un incisivo inferior.

14 meses más tarde el tratamiento ya estaba terminado, se puede observar que conseguimos todos los objetivos propuestos; mejorar la salud de las encías, conseguir clase I en ambos lados y mejorar la mordida profunda.

Una de las cosas más difíciles de conseguir es el paralelismo entre las raíces de los incisivos inferiores, en la radiografía siguiente se puede comprobar que las raíces esta perfectamente paralelas entre si al final del tratamiento.

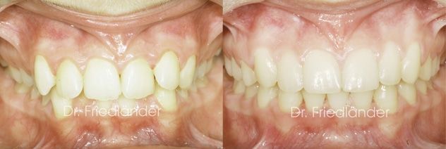
En las siguientes fotografías se puede observar como ha mejorado la salud de las encías. Las raíces de los dientes inferiores ya no esta tan salidas fuera del hueso.

[contacto]
Por: Clínica FriedlanderPaciente de 12 años, acude con sus padres para «arreglarse la boca», presenta arcadas dentarias estrechas, apiñamiento moderado/severo y clase II (mandíbula[...]
Por: Clínica FriedlanderTratamiento con ortodoncia fija y microtornillos (Mordida abierta) – Caso 42. Hoy presento un tratamiento de un paciente con mordida[...]
Por: Clínica Friedlander¡Descubre cómo lograr tu mejor sonrisa! Reserva una consulta ahora y transforma tu salud dental. Llámanos ahoraReserva una cita Tratamiento[...]
Por: Clínica FriedlanderEste caso es un retratamiento, es decir, un tratamiento de una recidiva de un antiguo tratamiento de ortodoncia. La paciente[...]
Por: Clínica Friedlander¡Descubre cómo lograr tu mejor sonrisa! Reserva una consulta ahora y transforma tu salud dental. Llámanos ahoraReserva una cita Tratamiento[...]
Por: Clínica FriedlanderPaciente de 28 años de edad que presenta un ligero apiñamiento en la arcada inferior. La paciente nos comenta que quiere[...]










No hay comentarios aún.