Clínica Friedländer nace de la inquietud de unir en un solo equipo profesionales honestos e implicados que se dedican en exclusiva a su especialidad y que aman su profesión. Nuestros pacientes son personas que valoran la calidad, que buscan profesionales altamente capacitados y buscan establecer un lazo de confianza para el cuidado de su salud dental.
Tratamiento con brackets de autoligado, 2×4 (D-Gainer) y Damon (Clase II) – Caso 7

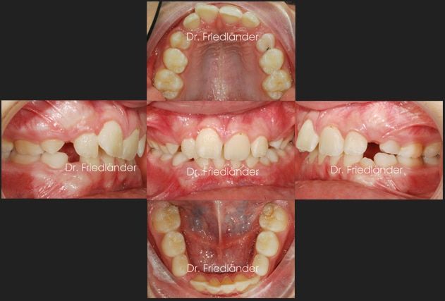
Paciente de 12 años, acude con sus padres para «arreglarse la boca», presenta arcadas dentarias estrechas, apiñamiento moderado/severo y clase II (mandíbula returuida). Después del estudio (fotografías, radiografías, modelos y exploración clínica) observamos que están a punto de cambiarse todos los dientes de leche que le quedan en boca. Se decide empezar lo antes posible con un D-Gainer del sistema de brackets de autoligado Damon, que no es más que un 2×4 que llamamos en ortodoncia, 2 brackets en los molares y 4 brackets en los incisivos con unos muelles que mantienen el espació y ayudan a la expansión.
El objetivo del 2×4 o D-Gainer es ganar espacio antes de que salgan lo caninos definitivos, así conseguimos 2 objetivos principales;
1. evitar problemas de encía, ya que un canino que sale en un lugar fuera de la arcada dentaria casi siempre suele tener problemas de encía fina, retracción de la encía etc
2.Permitir la erupción más o menos ordenada de los demás dientes y así se convierte el caso en bastante más fácil.

La paciente llevó el 2×4 (mirar la imagen de abajo) unos 6 meses, durante este tiempo empezó a recambiar sus dientes de leche gradualmente.
Detalle del antes y después del 2×4
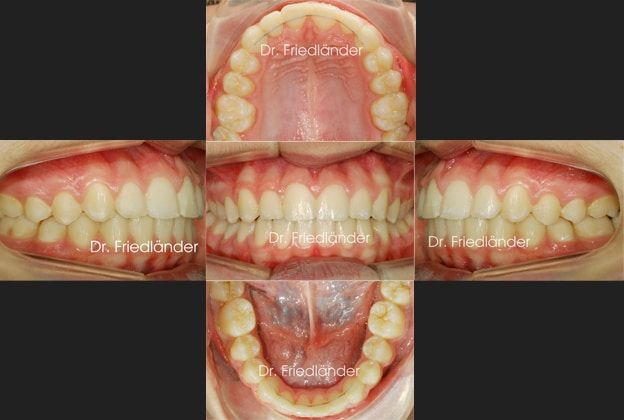
Una vez haya acabado el recambio dental se colocaron brackets mediante cementado directo en los demás dientes y se continuó con el tratamiento.
Detalle de la boca después de retirar los aparatos 22 meses después.

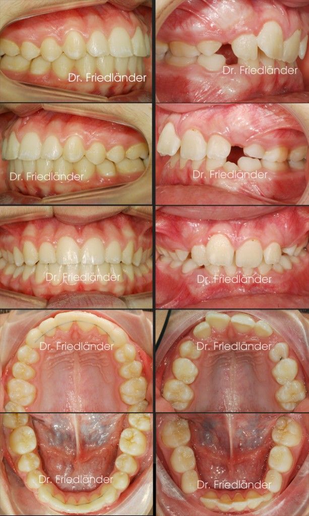
Comparación del antes y el después

[contacto]
Por: Clínica FriedlanderPaciente de 12 años, acude con sus padres para «arreglarse la boca», presenta arcadas dentarias estrechas, apiñamiento moderado/severo y clase II (mandíbula[...]
Por: Clínica FriedlanderEste caso es un retratamiento, es decir, un tratamiento de una recidiva de un antiguo tratamiento de ortodoncia. La paciente[...]
Por: Clínica Friedlander¡Descubre cómo lograr tu mejor sonrisa! Reserva una consulta ahora y transforma tu salud dental. Llámanos ahoraReserva una cita Tratamiento[...]
Por: Clínica FriedlanderTratamiento con ortodoncia fija y microtornillos (Mordida abierta) – Caso 42. Hoy presento un tratamiento de un paciente con mordida[...]
Por: Clínica FriedlanderPaciente de 28 años de edad que presenta un ligero apiñamiento en la arcada inferior. La paciente nos comenta que quiere[...]
Por: Clínica Friedlander¡Descubre cómo lograr tu mejor sonrisa! Reserva una consulta ahora y transforma tu salud dental. Llámanos ahoraReserva una cita Tratamiento[...]









No hay comentarios aún.