Clínica Friedländer nace de la inquietud de unir en un solo equipo profesionales honestos e implicados que se dedican en exclusiva a su especialidad y que aman su profesión. Nuestros pacientes son personas que valoran la calidad, que buscan profesionales altamente capacitados y buscan establecer un lazo de confianza para el cuidado de su salud dental.
Tratamiento con brackets de autoligado y extracción de un incisivo inferior (Clase III) – Caso 4

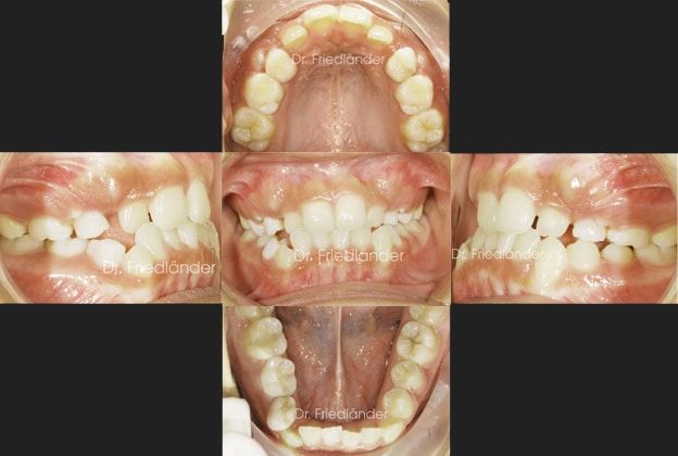
Aquí presento un caso complejo de una paciente de 14 años con mucho apiñamiento y falta de espacio, una tendencia a mordida abierta, clase III y un paladar muy estrecho. Está paciente fue tratada en 20 meses con brackets de autoligado.
Después de hacer el estudio, he eliminado la opción de 4 extracciones porque no me ayudarían a conseguir los objetivos del tratamiento de expandir el paladar, no empeorar el perfil de la paciente y conseguir la clase I. Extraer 4 premolares solo serviría para solucionar el apiñamiento.
Finalmente he optado por colocar un aparato ortopédico de expansión superior (disyuntor) y la extracción de un incisivo inferior para soluciona el apiñamiento e intentar cerrar la mordida abierta que presentaba. La paciente fue avisada que si el aparato de expansión no funcionaba lo más probable es que tendríamos que ir a cirugía ortognática ya que sería imposible conseguir una oclusión armónica sin empeorar mucho el perfil de la paciente.
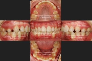
En la imagen a la izquierda podemos ver el paladar tan estrecho de la paciente y como falta mucho espacio para los caninos (colmillos). 6 meses después de colocar el disyuntor (aparato de expansión del paladar) ya tenemos los dientes alineados con los brackets de autoligado:

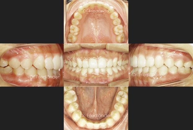
Y 20 meses después de iniciar el tratamiento dimos por solucionado el caso, la paciente y sus padres estaban muy contentos porque no hacía falta solucionar la maloclusión con cirugía ortognática y solo hubo que extraer un incisivo inferior.
Reserva una consulta ahora y transforma tu salud dental.

Fotos iniciales del tratamiento de extracción

Fotos finales de la extracción del incisivo inferior

[contacto]
Por: Clínica FriedlanderPaciente de 12 años, acude con sus padres para «arreglarse la boca», presenta arcadas dentarias estrechas, apiñamiento moderado/severo y clase II (mandíbula[...]
Por: Clínica Friedlander¡Descubre cómo lograr tu mejor sonrisa! Reserva una consulta ahora y transforma tu salud dental. Llámanos ahoraReserva una cita Tratamiento[...]
Por: Clínica FriedlanderPaciente de 28 años de edad que presenta un ligero apiñamiento en la arcada inferior. La paciente nos comenta que quiere[...]
Por: Clínica FriedlanderEste caso es un retratamiento, es decir, un tratamiento de una recidiva de un antiguo tratamiento de ortodoncia. La paciente[...]
Por: Clínica FriedlanderTratamiento con ortodoncia fija y microtornillos (Mordida abierta) – Caso 42. Hoy presento un tratamiento de un paciente con mordida[...]
Por: Clínica Friedlander¡Descubre cómo lograr tu mejor sonrisa! Reserva una consulta ahora y transforma tu salud dental. Llámanos ahoraReserva una cita Tratamiento[...]









No hay comentarios aún.