Clínica Friedländer nace de la inquietud de unir en un solo equipo profesionales honestos e implicados que se dedican en exclusiva a su especialidad y que aman su profesión. Nuestros pacientes son personas que valoran la calidad, que buscan profesionales altamente capacitados y buscan establecer un lazo de confianza para el cuidado de su salud dental.
Tratamiento con brackets estéticos (Agenesias de segundos premolares) – Caso 17

Reserva una consulta ahora y transforma tu salud dental.

Agenesias de segundos premolars inferiores
En la entrada anterior del blog enseñé un caso de agenesias de segundos premolars inferiores tratado con extracciones de los mismos y cierra de espacios. En esta entrada expongo el caso de una paciente de 30 años que presenta agenesias de segundos premolars inferiores además de un ligero apiñamiento y arcadas ligeramente estrechas; está paciente fue tratada conservando los dientes de leche (segundo molars de leche) reduciendo su tamaño para adaptar el espacio para unos futuros implantes.
Las segundos molars de leche son más grandes que los segundos premolars que los sustituyen, por lo tanto el tratamiento de ortodoncia en estos casos tiene que ir enfocado al ajuste del tamaño de los segundo molares de leche para consguir una mejor oclusion y, por si se pierden en un futuro, las coronas de lo implantes tendrán el tamaño adecuado.
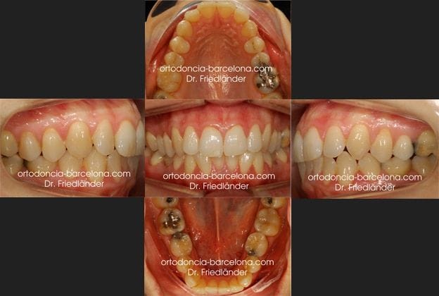
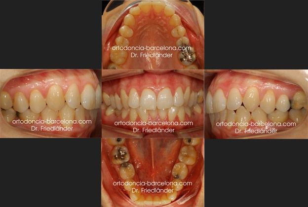
En las imágenes iniciales la paciente presenta clase I, ligero apiñamiento y ligeras recesiones gingivales en los premolares. Después de hacer el estudio de ortodoncia decidimos junto con la paciente intentar conservar los segundos molares temporales y no modificar la forma de la arcada para no empeorar las recesiones que tenía.

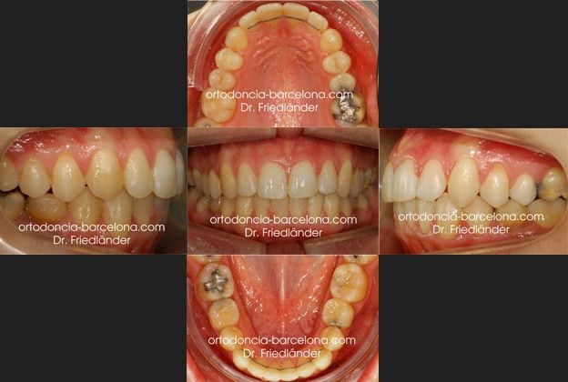
En las siguientes imágenes se puede ver la reducción interproximal, o stripping, que hicimos en los segundo molares de leche para adpatar su tamaño y como estos espacios se cerraron al final del tratamiento.

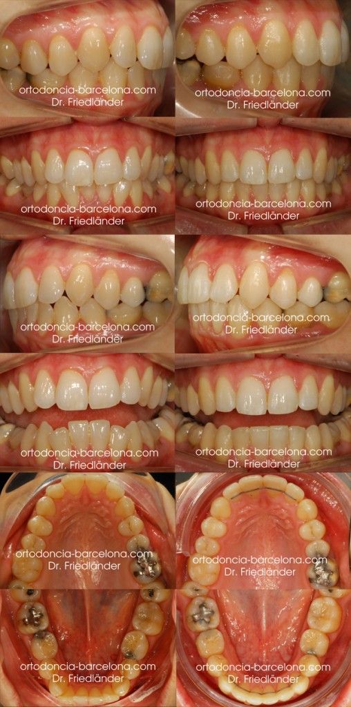
Fotos finales del tratamiento con ortodoncia estética

Detalle de la ortopantomografía final

Antes y el después del tratamiento de agenesia dental

Por: Clínica FriedlanderPaciente de 12 años, acude con sus padres para «arreglarse la boca», presenta arcadas dentarias estrechas, apiñamiento moderado/severo y clase II (mandíbula[...]
Por: Clínica FriedlanderEste caso es un retratamiento, es decir, un tratamiento de una recidiva de un antiguo tratamiento de ortodoncia. La paciente[...]
Por: Clínica Friedlander¡Descubre cómo lograr tu mejor sonrisa! Reserva una consulta ahora y transforma tu salud dental. Llámanos ahoraReserva una cita Tratamiento[...]
Por: Clínica FriedlanderTratamiento con ortodoncia fija y microtornillos (Mordida abierta) – Caso 42. Hoy presento un tratamiento de un paciente con mordida[...]
Por: Clínica FriedlanderPaciente de 28 años de edad que presenta un ligero apiñamiento en la arcada inferior. La paciente nos comenta que quiere[...]
Por: Clínica Friedlander¡Descubre cómo lograr tu mejor sonrisa! Reserva una consulta ahora y transforma tu salud dental. Llámanos ahoraReserva una cita Tratamiento[...]










No hay comentarios aún.