Clínica Friedländer nace de la inquietud de unir en un solo equipo profesionales honestos e implicados que se dedican en exclusiva a su especialidad y que aman su profesión. Nuestros pacientes son personas que valoran la calidad, que buscan profesionales altamente capacitados y buscan establecer un lazo de confianza para el cuidado de su salud dental.
Tratamiento con brackets estéticos y microtornillos (Incisivos laterales microdónticos y ausencia de canino inferior) – Caso 35

Este es el caso de Ana, una paciente de unos 35 años, que acude a la consulta para pedir otra opinión sobre su tratamiento de ortodoncia. En la primera visita a la consulta ya llevaba brackets estéticos en la arcada inferior, nos comentó que lleva casi un año con los brackets y no estaba contenta con lo que le estaba sucediendo en la boca ya que cada vez se veía la línea media de abajo más desviada.
Al explorar la paciente, se observó una ausencia del canino inferior del lado izquierdo; el canino estaba incluído y se lo habían quitado. Además presentaba unos incisivos laterales superiores microdónticos (unos incisivos muy pequeños) lo que genera un problema a la hora de conseguir un correcto resalte y sobremordida.
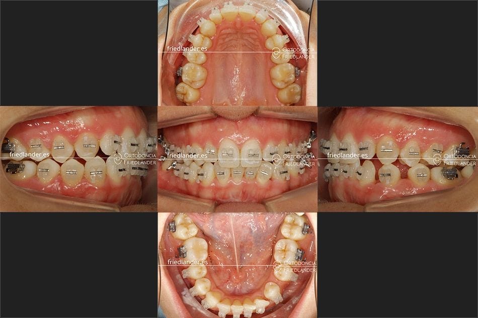
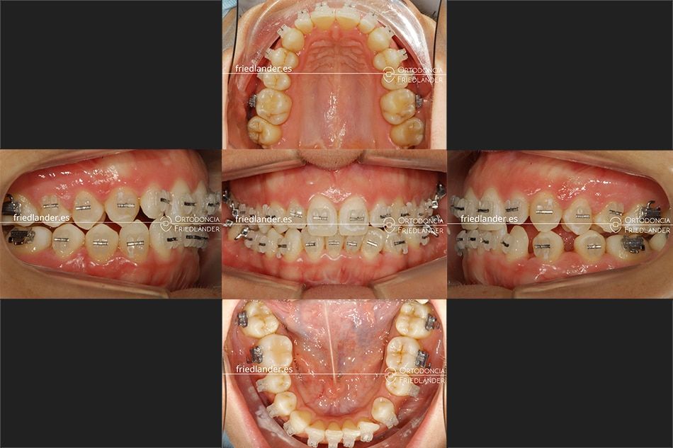
En la siguiente foto se observa la posición inicial de los dientes de la paciente una vez le hemos cementado nuestros brackets (después del estudio de ortodoncia).

Lo que se puede ver en estas fotos es que el ortodoncista anterior le intentaba cerrar los espacios con una cadeneta desviado así la línea media inferior. Bajo nuestros criterio este plan de tratamiento es erróneo ya que colocar un incisivo en lugar de un canino provocaría casi con total seguridad la pérdida de este incisivo (por tener que soportar muchas de la fuerzas masticatorias y parafunciones). Además, cerrando el espacio de esta manera provoca la pérdida de las correctas relaciones anteriores del grupo anterior de los dientes lo que afecta la función.
Después de hacer el estudio de ortodoncia, hemos quedado con la paciente para comentar el caso y tomar las decisiones juntos. El plan aceptado por la paciente fue el retirar los brackets antiguos (además de muy mala calidad) y reiniciar el tratamiento centrando la línea media inferior, mesializar (llevar hacia adelante) todos los dientes inferiores del lado izquierdo con un microtornillo (como se puede ver sobraba espacio) y de esta manera evitar la colocación de un implante en este lado. Lo más fácil hubiera sido colocar un implante en la zona posterior del lado izquierdo, pero la paciente no quería. Por último, uno de los objetivos fue abrir espacios para poder reconstruir los incisivos lateral con carillas de cerámica y de esta manera conseguir buena relación anterior de resalte y sobremordida.
Detalles del tratamiento:

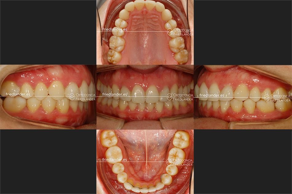
Después de 24 meses de tratamiento de ortodoncia el resultado es el siguiente:

Al final del tratamiento se realizó varias sesiones de tallado selectivo para mejorar la mordida y la función masticatoria. La paciente acabó el tratmiento muy contenta y con una buena mordida.
Por: Clínica FriedlanderPaciente de 12 años, acude con sus padres para «arreglarse la boca», presenta arcadas dentarias estrechas, apiñamiento moderado/severo y clase II (mandíbula[...]
Por: Clínica FriedlanderEste caso es un retratamiento, es decir, un tratamiento de una recidiva de un antiguo tratamiento de ortodoncia. La paciente[...]
Por: Clínica Friedlander¡Descubre cómo lograr tu mejor sonrisa! Reserva una consulta ahora y transforma tu salud dental. Llámanos ahoraReserva una cita Tratamiento[...]
Por: Clínica FriedlanderTratamiento con ortodoncia fija y microtornillos (Mordida abierta) – Caso 42. Hoy presento un tratamiento de un paciente con mordida[...]
Por: Clínica FriedlanderPaciente de 28 años de edad que presenta un ligero apiñamiento en la arcada inferior. La paciente nos comenta que quiere[...]
Por: Clínica Friedlander¡Descubre cómo lograr tu mejor sonrisa! Reserva una consulta ahora y transforma tu salud dental. Llámanos ahoraReserva una cita Tratamiento[...]







No hay comentarios aún.