Clínica Friedländer nace de la inquietud de unir en un solo equipo profesionales honestos e implicados que se dedican en exclusiva a su especialidad y que aman su profesión. Nuestros pacientes son personas que valoran la calidad, que buscan profesionales altamente capacitados y buscan establecer un lazo de confianza para el cuidado de su salud dental.
Tratamiento con distalización con autoligado y microtornillos (Clase II) – Caso 27

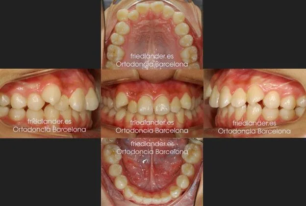
Este es el tratamiento de un paciente de 16 que no le gustaba su sonrisa por los caninos o colmillos tan altos que presentaba.
Al hacer la exploración en la primera visita observamos que, además de la desnivelación de los márgenes gingivales de los dientes anteriores, también tenía una clase II (una mandíbula posicionada ligeramente hacia atrás) y apiñamiento superior moderado. La arcada inferior está prácticamente nivelada.

Después de hacer el estudio de ortodoncia decidimos junto con el paciente que el tratamiento que realizaremos será de distalización (llevar hacía atrás) de la arcada superior desde el primer día de tratamiento con la ayuda de microtornillos y unos muelles de NiTi (Niquel-Titanio). La colocación de brackets en la arcada inferior se llevará acabo después de varios meses de tratamiento ya que no tenía tanta necesidad de tratamiento.

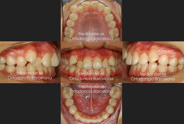
Los brackets en la arcada inferior fueron cementado al cabo de un año de iniciar el tratamiento y el paciente los llevo durante 6 meses.
El resultado al cabo de 18 meses de tratamiento

El paciente acabó muy contento ya que hemos cumplido con sus expectativas de mejorar la sonrisa y nivelar los caninos superiors.
[contacto]

- Por: Clínica FriedlanderPaciente de 12 años, acude con sus padres para «arreglarse la boca», presenta arcadas dentarias estrechas, apiñamiento moderado/severo y clase II (mandíbula[...]
- Por: Clínica FriedlanderEste caso es un retratamiento, es decir, un tratamiento de una recidiva de un antiguo tratamiento de ortodoncia. La paciente[...]
- Por: Clínica Friedlander¡Descubre cómo lograr tu mejor sonrisa! Reserva una consulta ahora y transforma tu salud dental. Llámanos ahoraReserva una cita Tratamiento[...]
- Por: Clínica FriedlanderTratamiento con ortodoncia fija y microtornillos (Mordida abierta) – Caso 42. Hoy presento un tratamiento de un paciente con mordida[...]
- Por: Clínica FriedlanderPaciente de 28 años de edad que presenta un ligero apiñamiento en la arcada inferior. La paciente nos comenta que quiere[...]
- Por: Clínica Friedlander¡Descubre cómo lograr tu mejor sonrisa! Reserva una consulta ahora y transforma tu salud dental. Llámanos ahoraReserva una cita Tratamiento[...]
No hay comentarios aún.