Clínica Friedländer nace de la inquietud de unir en un solo equipo profesionales honestos e implicados que se dedican en exclusiva a su especialidad y que aman su profesión. Nuestros pacientes son personas que valoran la calidad, que buscan profesionales altamente capacitados y buscan establecer un lazo de confianza para el cuidado de su salud dental.
Tratamiento con extracciones de segundos premolares inferiores (Clase III) – Caso 18

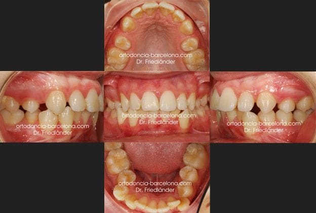
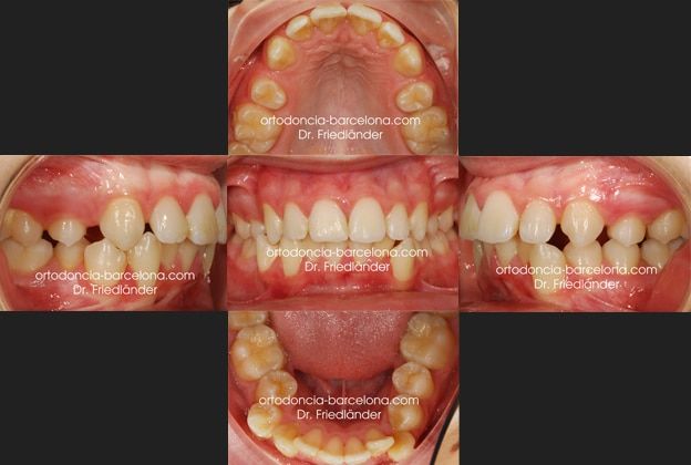
El siguiente caso fue tratado con brackets de autoligado durante 22 meses.

El paciente llego a la consulta cuando ya tenía 15 años, le habían hecho 2 extracciones prematuras de los primeros molares de leche y los primeros premolares. Este tipo de extracciones son las típicas extracciones seriadas que se hacían para hacer espacio y permitir la erupción de los demás dientes. El problema de este paciente es que parece que se ignoraba el problema de espacio de la arcada inferior y la oclusión que podría tener.
después de hacer el estudio de ortodoncia comentamos con el paciente las dos posibles opciones de no extraer en la arcada inferior o sí extraer. El paciente siguió nuestro consejo de escoger el tratamiento con extracciones inferiores. La extracciones inferiores permitirían mejorar la oclusión, solucionar el problema de espacio inferior, evitar daños al periodonto (las encías) y mejorar la estética.
Hemos barajado tres posibles patrones de extracciones:
1. Primer premolar inferior izquierdo y segundo premolar derecho.
2. Segundos premolares
3. Primeros premolares
Finalmente decidimos extraer segundos premolares inferiores para facilitar la mecánica ortodóncica, no empeorar el perfil del paciente y disminuir el tiempo del tratamiento,
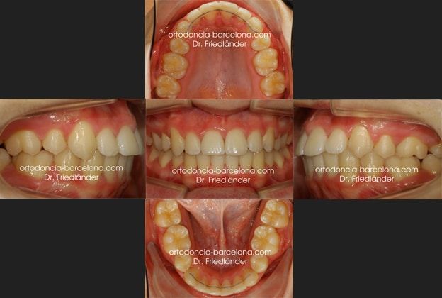
después de 22 meses de tratamiento el resultado es el siguiente

[contacto]
Por: Clínica FriedlanderPaciente de 28 años de edad que presenta un ligero apiñamiento en la arcada inferior. La paciente nos comenta que quiere[...]
Por: Clínica FriedlanderTratamiento con ortodoncia fija y microtornillos (Mordida abierta) – Caso 42. Hoy presento un tratamiento de un paciente con mordida[...]
Por: Clínica Friedlander¡Descubre cómo lograr tu mejor sonrisa! Reserva una consulta ahora y transforma tu salud dental. Llámanos ahoraReserva una cita Tratamiento[...]
Por: Clínica FriedlanderPaciente de 12 años, acude con sus padres para «arreglarse la boca», presenta arcadas dentarias estrechas, apiñamiento moderado/severo y clase II (mandíbula[...]
Por: Clínica FriedlanderEste caso es un retratamiento, es decir, un tratamiento de una recidiva de un antiguo tratamiento de ortodoncia. La paciente[...]
Por: Clínica Friedlander¡Descubre cómo lograr tu mejor sonrisa! Reserva una consulta ahora y transforma tu salud dental. Llámanos ahoraReserva una cita Tratamiento[...]









No hay comentarios aún.