Clínica Friedländer nace de la inquietud de unir en un solo equipo profesionales honestos e implicados que se dedican en exclusiva a su especialidad y que aman su profesión. Nuestros pacientes son personas que valoran la calidad, que buscan profesionales altamente capacitados y buscan establecer un lazo de confianza para el cuidado de su salud dental.
Tratamiento con Invisalign anterior (Apiñamiento ligero) – Caso 9

Reserva una consulta ahora y transforma tu salud dental.

Tratamiento con Invisalign
Paciente de 46 años que presenta ligero apiñamiento en las dos arcadas en su parte anterior. La paciente nos comenta que solo quiere tratar los dientes apiñados.

Después de hacer la exploración en la primera visita confirmamos que la oclusión está bastante correcta y que se podría tratar solo a nivel anterior. Ofrecimos a la paciente varias opciones para alinear el sector anterior, lo que viene a ser un tratamiento de «Social 6» solo los 6 dientes anteriores superior e inferiores con Invisalign Anterior. Entre las opciones que tenemos hoy en día para conseguir esto están Invisalign Lite, Incognito Lite, brackets STB Social 6, brackets convencionales etc.
Hace unos años Invisalign Anterior era un tipo de tratamiento comercializado por Invisalign para tratar solo el frente anterior e Invisalign Express para tratamientos cortos de toda la boca. Hoy en día solo existe Invisalign Lite e Invisalign i7 que permiten tratar las arcadas dentarias completas y estan limitados a 14 alineadores y 7 alineadores respectivamente, es decir 7 meses y 3 meses y medio.
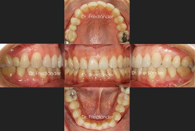
El resultado después del tratamiento con Invisalign

Comparación de antes y después del tratamiento con Invisalign

La secuencia del tratamiento con Invisalign
[contacto]
Por: Clínica FriedlanderPaciente de 12 años, acude con sus padres para «arreglarse la boca», presenta arcadas dentarias estrechas, apiñamiento moderado/severo y clase II (mandíbula[...]
Por: Clínica FriedlanderEste caso es un retratamiento, es decir, un tratamiento de una recidiva de un antiguo tratamiento de ortodoncia. La paciente[...]
Por: Clínica Friedlander¡Descubre cómo lograr tu mejor sonrisa! Reserva una consulta ahora y transforma tu salud dental. Llámanos ahoraReserva una cita Tratamiento[...]
Por: Clínica FriedlanderTratamiento con ortodoncia fija y microtornillos (Mordida abierta) – Caso 42. Hoy presento un tratamiento de un paciente con mordida[...]
Por: Clínica FriedlanderPaciente de 28 años de edad que presenta un ligero apiñamiento en la arcada inferior. La paciente nos comenta que quiere[...]
Por: Clínica Friedlander¡Descubre cómo lograr tu mejor sonrisa! Reserva una consulta ahora y transforma tu salud dental. Llámanos ahoraReserva una cita Tratamiento[...]










No hay comentarios aún.