Clínica Friedländer nace de la inquietud de unir en un solo equipo profesionales honestos e implicados que se dedican en exclusiva a su especialidad y que aman su profesión. Nuestros pacientes son personas que valoran la calidad, que buscan profesionales altamente capacitados y buscan establecer un lazo de confianza para el cuidado de su salud dental.
Tratamiento con Invisalign (Clase II, mordida abierta, arcadas estrechas y apiñamiento) – Caso 37

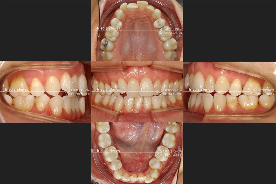
Este caso es un retratamiento, es decir, un tratamiento de una recidiva de un antiguo tratamiento de ortodoncia. La paciente de 39 años acude a la consulta en busca de solución para su maloclusión comentando que en los últimos años los dientes se le han movido mucho y que le cuesta mucho masticar, quiere volver a tener los dientes en buena posición.
En la exploración clínica, de la primera visita, se podía observar una maloclusión de clase II, mordida abierta, apiñamiento moderado, arcadas estrechas (los dientes posteriores están inclinados hacia dentro de la boca), los márgenes gingivales de los dientes anteriores están desnivelados y por último presenta unas encías delicadas de biotipo fino con varios dientes con recesiones gingivales. La paciente no comentó que no quería volver a llevar brackets bajo ningún concepto y solamente quiere tratarse con Invisalign por sus múltiples ventajas.

La pacientes además presentaba sonrisa gingival que se intentó mejorar con el tratamiento de ortodoncia, pero al ser una sonrisa gingival de causa maxilar e hipermovilidad labial no se planteó como objetivo principal.
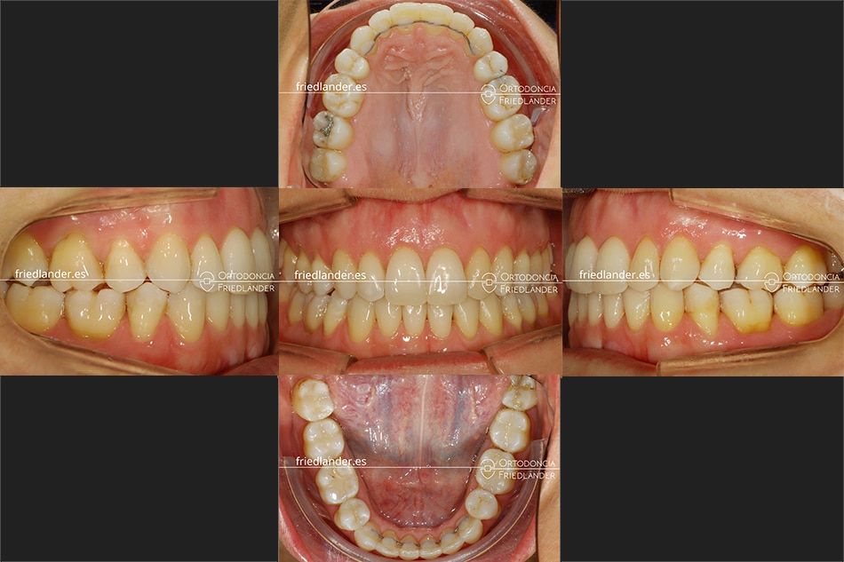
El tratamiento se realizó con distalización de la arcada superior, stripping y elásticos de clase II. En la siguiente imagen se puede ver el resultado a los 18 meses de tratamiento

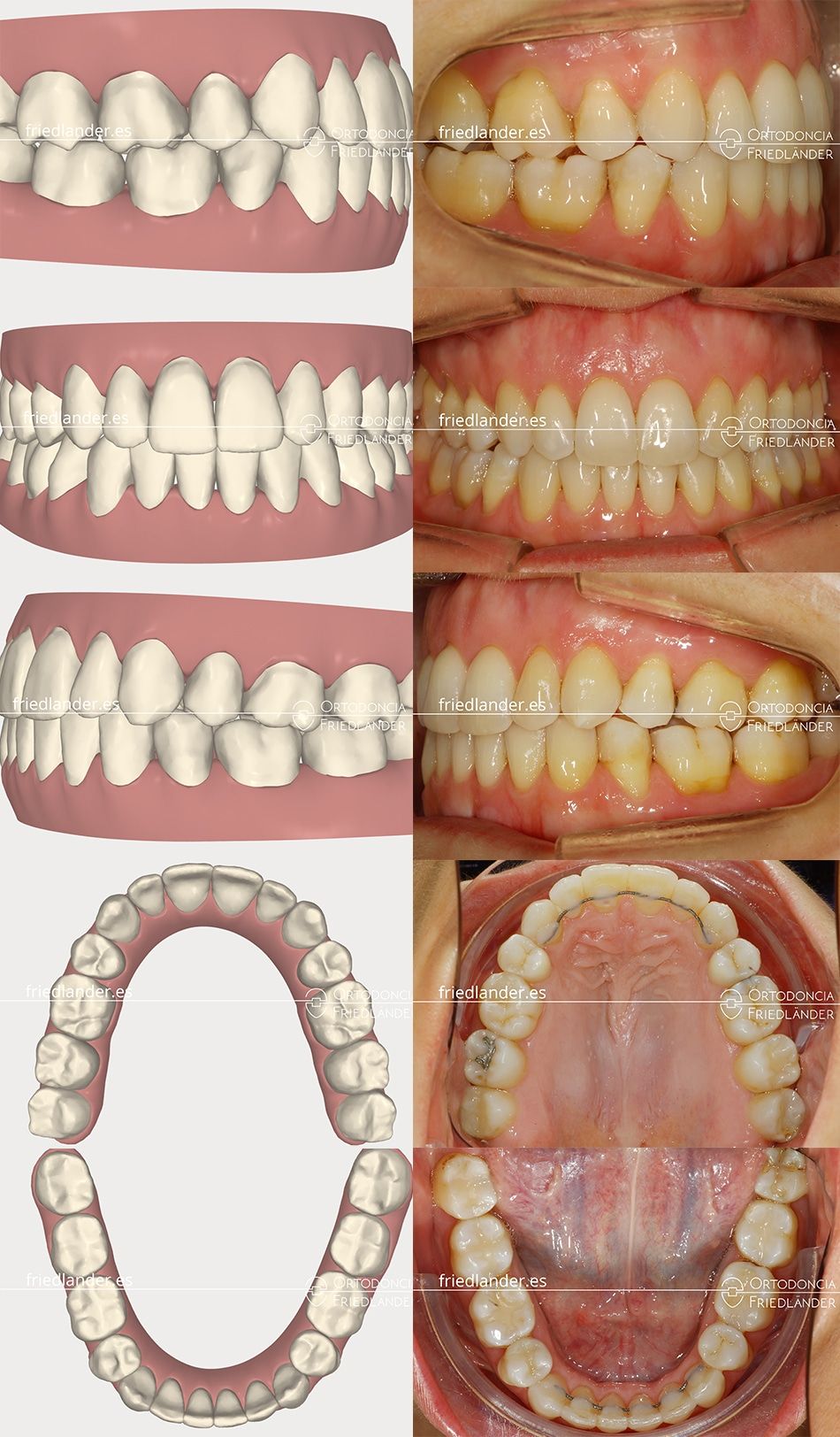
En casos de pacientes adultos con apiañmiento anterior, al alinear los dientes, se suelen hacer evidentes unas troneras gingivales o «huecos negro en la encía» que se pueden solucionar con un correcto stripping.

Después de hacer stripping se elimina la tronera gingival marcada con una flecha amarilla.

Imagen de la sonrisa de la paciente.

Imagen de la valoración del Clincheck y el resultado final del tratamiento. Es decir, la planificación virtual y el resultado real.

Por: Clínica FriedlanderTratamiento con ortodoncia fija y microtornillos (Mordida abierta) – Caso 42. Hoy presento un tratamiento de un paciente con mordida[...]
Por: Clínica FriedlanderPaciente de 28 años de edad que presenta un ligero apiñamiento en la arcada inferior. La paciente nos comenta que quiere[...]
Por: Clínica FriedlanderPaciente de 12 años, acude con sus padres para «arreglarse la boca», presenta arcadas dentarias estrechas, apiñamiento moderado/severo y clase II (mandíbula[...]
Por: Clínica Friedlander¡Descubre cómo lograr tu mejor sonrisa! Reserva una consulta ahora y transforma tu salud dental. Llámanos ahoraReserva una cita Tratamiento[...]
Por: Clínica Friedlander¡Descubre cómo lograr tu mejor sonrisa! Reserva una consulta ahora y transforma tu salud dental. Llámanos ahoraReserva una cita Tratamiento[...]
Por: Clínica FriedlanderEste caso es un retratamiento, es decir, un tratamiento de una recidiva de un antiguo tratamiento de ortodoncia. La paciente[...]






No hay comentarios aún.