Clínica Friedländer nace de la inquietud de unir en un solo equipo profesionales honestos e implicados que se dedican en exclusiva a su especialidad y que aman su profesión. Nuestros pacientes son personas que valoran la calidad, que buscan profesionales altamente capacitados y buscan establecer un lazo de confianza para el cuidado de su salud dental.
Tratamiento con Invisalign full (Desviación de la línea media y ligera mordida abierta) – Caso 22

Paciente de 36 años acude a nuestra consulta para pedir solución para un problema estético. La paciente comenta que no está contenta con su aspecto dental y su mordida, principalmente destaca su canino superior del lado derecho que está fuera de la arcada dental pidiendo solucionar el problema con Invisalign ortodoncia transparente (que es prácticamente invisible).

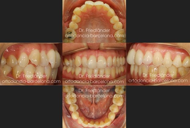
Al explorar la paciente, en la primera visita, vemos que presenta un ligero apiñamiento superior e inferior, tendencia a la mordida abierta anterior (marcado con círculos en la foto), sobremordida disminuida y una línea media inferior desviada unos milímetros hacia la izquierda por una desviación de la mandíbula. (mirar flecha en la foto de abajo)

Después de estudiar y planificar el tratamiento con el Clincheck (el software 3D de invisalign) hemos decidido junto con la paciente continuar con el tratamiento ayudándonos de reducción interproximal o stripping y elásticos para centrar la línea media inferior.
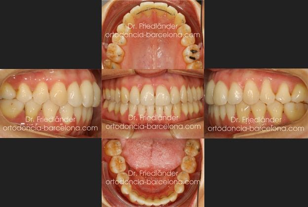
Estos son los resultados tras 20 meses de tratamiento con invisalign

Los objetivos se han podido conseguir perfectamente con Invisalign:
Apiñamiento nivelado.
Hemos conseguido cerrar la mordida abierta y mejorar la sobremordida.
Línea media inferior centrada.
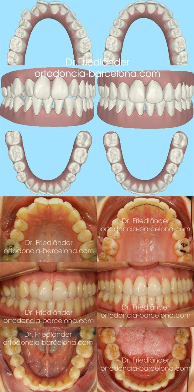
Comparación del antes y después:

Cambios en la sonrisa:

Planificación y tratamiento con el ClinCheck:
Información general sobre Ortodoncia Invisible en Ortodoncia Friedländer en Barcelona.
[contacto]
Por: Clínica Friedlander¡Descubre cómo lograr tu mejor sonrisa! Reserva una consulta ahora y transforma tu salud dental. Llámanos ahoraReserva una cita Tratamiento[...]
Por: Clínica FriedlanderEste caso es un retratamiento, es decir, un tratamiento de una recidiva de un antiguo tratamiento de ortodoncia. La paciente[...]
Por: Clínica FriedlanderTratamiento con ortodoncia fija y microtornillos (Mordida abierta) – Caso 42. Hoy presento un tratamiento de un paciente con mordida[...]
Por: Clínica Friedlander¡Descubre cómo lograr tu mejor sonrisa! Reserva una consulta ahora y transforma tu salud dental. Llámanos ahoraReserva una cita Tratamiento[...]
Por: Clínica FriedlanderPaciente de 12 años, acude con sus padres para «arreglarse la boca», presenta arcadas dentarias estrechas, apiñamiento moderado/severo y clase II (mandíbula[...]
Por: Clínica FriedlanderPaciente de 28 años de edad que presenta un ligero apiñamiento en la arcada inferior. La paciente nos comenta que quiere[...]







No hay comentarios aún.