Clínica Friedländer nace de la inquietud de unir en un solo equipo profesionales honestos e implicados que se dedican en exclusiva a su especialidad y que aman su profesión. Nuestros pacientes son personas que valoran la calidad, que buscan profesionales altamente capacitados y buscan establecer un lazo de confianza para el cuidado de su salud dental.
Tratamiento con Invisalign Full y stripping (Apiñamiento severo y arcadas estrechas) – Caso 24

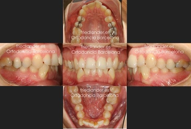
Paciente de 30 años, enviada por un compañero odontólogo, acude a nuestra clínica para solucionar un problema de apiñamiento inferior muy severo con ortodoncia invisible. En la primera visita le comentamos la posibilidad de extracción de un incisivo inferior para solucionar el problema con ortodoncia lingual o Invisalign, sin embrago la paciente no quería ningún tipo de extracción. La paciente además presentaba unas arcadas muy estrechas con colapso de los dientes posteriores hacia adentro, unas encías delicadas y a nivel estético unos bordes incisales desgastado.

Después de realizar el estudio de ortodoncia la paciente escogió el sistema invisalign por su comodidad y sencillez y hemos decidido realizar el tratamiento ganando el espacio que falta mediante expansión y stripping o reducción interproximal posterior y anterior y dejar la odontología restauradora para el final del tratamiento. El tratamiento duró 20 meses en total.

Secuencia del tratamiento planificada en el ClinCheck (el programa de 3D de Invisalign)
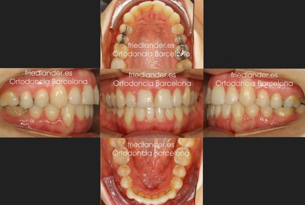
Fotos comparativas del ClinCheck y la boca de la paciente

La paciente acabó el tratamiento muy contenta y se veía tan bien que finalmente no quiso arreglar la parte estética anterior con carillas.
[contacto]
Por: Clínica FriedlanderPaciente de 28 años de edad que presenta un ligero apiñamiento en la arcada inferior. La paciente nos comenta que quiere[...]
Por: Clínica FriedlanderPaciente de 12 años, acude con sus padres para «arreglarse la boca», presenta arcadas dentarias estrechas, apiñamiento moderado/severo y clase II (mandíbula[...]
Por: Clínica Friedlander¡Descubre cómo lograr tu mejor sonrisa! Reserva una consulta ahora y transforma tu salud dental. Llámanos ahoraReserva una cita Tratamiento[...]
Por: Clínica FriedlanderTratamiento con ortodoncia fija y microtornillos (Mordida abierta) – Caso 42. Hoy presento un tratamiento de un paciente con mordida[...]
Por: Clínica FriedlanderEste caso es un retratamiento, es decir, un tratamiento de una recidiva de un antiguo tratamiento de ortodoncia. La paciente[...]
Por: Clínica Friedlander¡Descubre cómo lograr tu mejor sonrisa! Reserva una consulta ahora y transforma tu salud dental. Llámanos ahoraReserva una cita Tratamiento[...]









No hay comentarios aún.