Clínica Friedländer nace de la inquietud de unir en un solo equipo profesionales honestos e implicados que se dedican en exclusiva a su especialidad y que aman su profesión. Nuestros pacientes son personas que valoran la calidad, que buscan profesionales altamente capacitados y buscan establecer un lazo de confianza para el cuidado de su salud dental.
Tratamiento con Invisalign Full y stripping (Apiñamiento severo y mordida abierta) – Caso 23

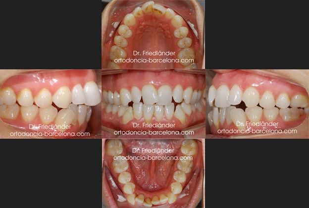
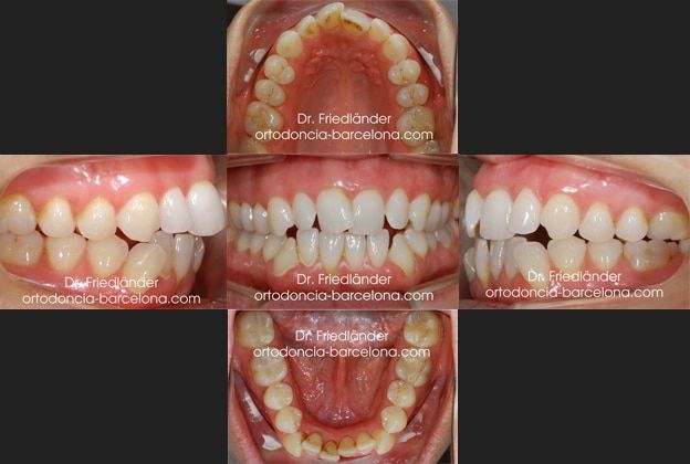
Paciente de 30 años que consulta por un tratamiento de Invisalign (y otros tipos de ortodoncia invisible como la ortodoncia lingual) La paciente ya venía bien informada sobre Invisalign y este fue su tratamiento de elección.

Después de explorar a la paciente en la 1a visita, para mi Invisalign no era la técnica de elección en este caso ya que ciertos movimientos como intrusión de los molares o enderezar las raíces de los caninos inferiores eran difíciles de realizar con Invisalign y sin la ayuda de algún aparato auxiliar.
Decidimos realizar el estudio y después volver a barajar las posibles opciones de su tratamiento de ortodoncia.
Tras el estudio comenté con las pacientes sus posibilidades y una de ellas era realizar intrusión de los molares superiores con microtornillos, así cerrar la mordida abierta que presentaba. Otra opción era la extracción de un incisivo inferior para ayudar a solucionar el apiñamiento y también ayudar a cerrar la mordida abierta anterior.
La paciente rechazó todas estas opciones y solo quería Invisalign sin microtornillos ni extracción de ningún diente. Pactamos en llegar hasta donde invisalign nos permita teniendo en cuenta las encías (que ya presentaba recesiones). Un tratamiento, tal vez no al 100%, sin embargo satisfaría a las necesidades y aspiraciones de la paciente.
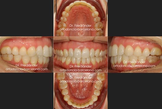
Después de 24 meses de tratamiento y 2 refinamientos este fue el resultado.

Secuencia del tratamiento con el Clincheck (el software en 3D de Invisalign)
Comparación de la boca de la paciente con el ClinCheck

comparación con boca entreabierta

Cambio en la sonrisa

Al final del tratamiento se colocaron retenedores fijos arriba y abajo más dos aparatos d euso nocturne.
La paciente acabó el tratamiento muy contenta con el resultado obtenido.
El resultado final demuestra que, con buena planificación y tratamiento, invislign funciona muy bien en casos complejos y casos límite.
Información general sobre Ortodoncia Invisible.
[contacto]
Por: Clínica Friedlander¡Descubre cómo lograr tu mejor sonrisa! Reserva una consulta ahora y transforma tu salud dental. Llámanos ahoraReserva una cita Tratamiento[...]
Por: Clínica FriedlanderPaciente de 28 años de edad que presenta un ligero apiñamiento en la arcada inferior. La paciente nos comenta que quiere[...]
Por: Clínica FriedlanderPaciente de 12 años, acude con sus padres para «arreglarse la boca», presenta arcadas dentarias estrechas, apiñamiento moderado/severo y clase II (mandíbula[...]
Por: Clínica Friedlander¡Descubre cómo lograr tu mejor sonrisa! Reserva una consulta ahora y transforma tu salud dental. Llámanos ahoraReserva una cita Tratamiento[...]
Por: Clínica FriedlanderTratamiento con ortodoncia fija y microtornillos (Mordida abierta) – Caso 42. Hoy presento un tratamiento de un paciente con mordida[...]
Por: Clínica FriedlanderEste caso es un retratamiento, es decir, un tratamiento de una recidiva de un antiguo tratamiento de ortodoncia. La paciente[...]







No hay comentarios aún.