Clínica Friedländer nace de la inquietud de unir en un solo equipo profesionales honestos e implicados que se dedican en exclusiva a su especialidad y que aman su profesión. Nuestros pacientes son personas que valoran la calidad, que buscan profesionales altamente capacitados y buscan establecer un lazo de confianza para el cuidado de su salud dental.
Tratamiento con Invisalign y stripping (Apiñamiento severo) – Caso 19

Reserva una consulta ahora y transforma tu salud dental.

Tratamiento con Invisalign
El siguiente caso se trató con Invisalign Full Durante 20 meses.
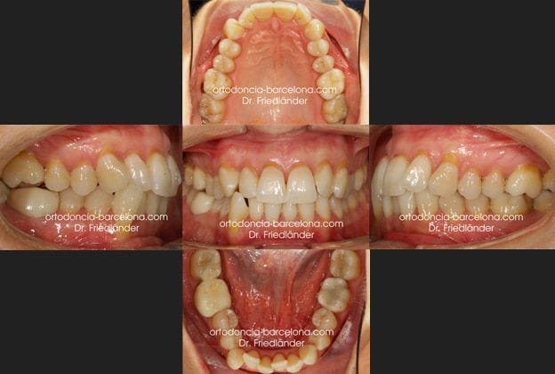
La siguiente paciente de 45 años nos consulta para «arreglarse la boca». En la primera visita observamos una clase I con tendencia a la clase III y apiñamiento severo en la mandíbula. Se puede observar que a nivel periodontal (las encías) presentaba recesiones gingivales.
Después de hacer el estudio de ortodoncia, explicamos a la paciente que seguramente se le tendría que extraer un incisivo inferior para poder nivelar el apiñamiento sin empeorar el estado de las recesiones. Aquí y aquí se puede ver dos casos de extracción de incisivo inferior. En este caso las extracciones de premolares fueron descartadas por el tipo de perfil y los labios finos, al extraer 4 premolaress el perfil se retruiría (se hundiría) y lo empeoraríamos.

En el ClinCheck, el programa de planificación del tratamiento con invisalign, pedimos una simulación con extracción y otra sin extracción y con stripping, las órdenes al técnico fueron: mínima expansion y no protruir los incisivos inferiores más allá del incisivo más protruido.
Después de explicar las dos opciones a la pacientes con sus posibles riesgo, ventajas y desventajas, ella optó por el tratamiento con Invisalign sin extracción de incisivo inferior.
En las siguientes imágenes los dientes de color oscuro son los dientes en su posición original y los dientes de color blanco son los dientes al final del tratamiento. Hicimos ligera expansión a nivel de premolares y ligera protrusión de algún incisivo inferior, incluso pudimos mejorar la situación del canino inferior derecho de la paciente. El resto del espacio se obtuvo con el stripping o reducción interproximal de los dientes. Este control de los movimientos es muy importante en casos con recesiones gingivales y con la ortodoncia fija (con brackets) se consiguen con más dificultad.

En el video se puede ver los movimiento dentales en el tratamiento con invisalign
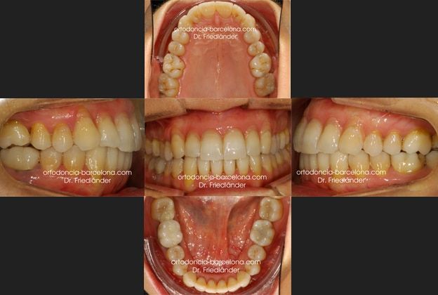
Después de 20 meses y un refinamiento se obtuvieron los siguientes resultados


Las siguientes imágenes comparan el resultado virtual del clincheck con el resultado final real.
Coinciden casi al 100%


[contacto]
Por: Clínica Friedlander¡Descubre cómo lograr tu mejor sonrisa! Reserva una consulta ahora y transforma tu salud dental. Llámanos ahoraReserva una cita Tratamiento[...]
Por: Clínica FriedlanderPaciente de 28 años de edad que presenta un ligero apiñamiento en la arcada inferior. La paciente nos comenta que quiere[...]
Por: Clínica FriedlanderPaciente de 12 años, acude con sus padres para «arreglarse la boca», presenta arcadas dentarias estrechas, apiñamiento moderado/severo y clase II (mandíbula[...]
Por: Clínica Friedlander¡Descubre cómo lograr tu mejor sonrisa! Reserva una consulta ahora y transforma tu salud dental. Llámanos ahoraReserva una cita Tratamiento[...]
Por: Clínica FriedlanderEste caso es un retratamiento, es decir, un tratamiento de una recidiva de un antiguo tratamiento de ortodoncia. La paciente[...]
Por: Clínica FriedlanderTratamiento con ortodoncia fija y microtornillos (Mordida abierta) – Caso 42. Hoy presento un tratamiento de un paciente con mordida[...]









No hay comentarios aún.