Clínica Friedländer nace de la inquietud de unir en un solo equipo profesionales honestos e implicados que se dedican en exclusiva a su especialidad y que aman su profesión. Nuestros pacientes son personas que valoran la calidad, que buscan profesionales altamente capacitados y buscan establecer un lazo de confianza para el cuidado de su salud dental.
Tratamiento con ortodoncia fija y stripping (Apiñamiento y desviación línea media) – Caso 40

Reserva una consulta ahora y transforma tu salud dental.

Tratamiento de ortodoncia para centrar líneas medias
En muchas ocasiones hemos insistido en la importancia de un minucioso estudio de ortodoncia para obtener un buen plan y secuencia de tratamiento. Este caso es un buen ejemplo de un tratamiento relativamente sencillo que, sin una buena planificación, se puede complicar y alargar en el tiempo
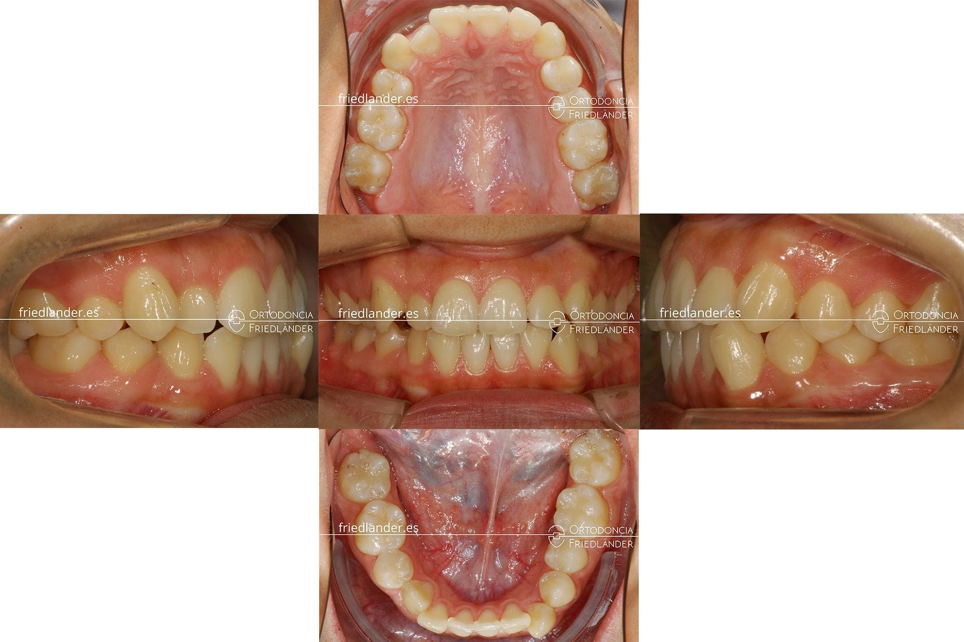
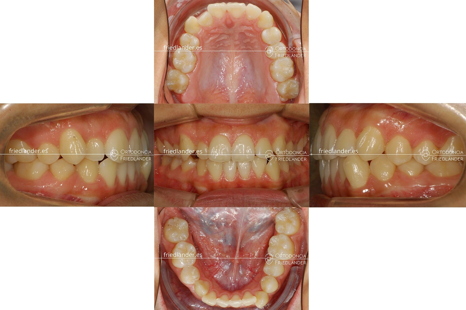
Paciente de 25 años acude a su primera visita en nuestra clínica en Barcelona. El principal motivo de consulta de la paciente es la desviación de su línea media dental.

La paciente nos comentó que su dentista le extrajo estos premolares porque faltaba espacio en la arcada dental para que todos los dientes pudieran erupcionar. Evidentemente, este tratamiento no era el indicado ya que genera otros problemas como la desviación de las líneas medias y crea una asimetría en la sonrisa.
Tratamiento de ortodoncia
Después de hacer el estudio de ortodoncia le hemos planteado varias opciones de tratamiento:
- Distalización con microtornillos de la arcada superior e inferior en el lado izquierdo
- Extracciones de 2 premolares para centrar línea media y conseguir una simetría en la boca.
- Un tratamiento más sencillo con stripping en el lado izquierdo para centrar líneas medias.
Después de explicar las ventajas y desventajas de cada tratamiento la paciente escogió la tercera opción por su corto tiempo de tratamiento, la sencillez del tratamiento y así conserva todos sus dientes. Además, siempre nos queda la opción de colocar microtornillos y distalar las arcadas dentales (llevarlas hacia atrás).
Línea media dental
«Comparing the perception of dentists and lay people to altered dental esthetics.» (autores Kokich VO Jr , Kiyak HA, Shapiro PA.) es un estudio que demuestra que los dentistas generales y la gente «de la calle» no se dan cuenta cuando la línea media está desviada unos 3mm; a partir de los 3mm empieza a hacerse más evidente la desviación. El tratamiento de este caso se basa en esta percepción de la línea media ya que si la dejamos 1-2mm desviada nadie se dará cuenta y el tratamiento se hace mucho más sencillo y rápido.
En este caso es extremadamente importante planificar el stripping desde el primer momento (el mismo día del cementado de los brackets) y aplicar una fuerza muy ligera que lleve los caninos del lado izquierdo hacia atrás SIN mover las muelas hacia adelante.

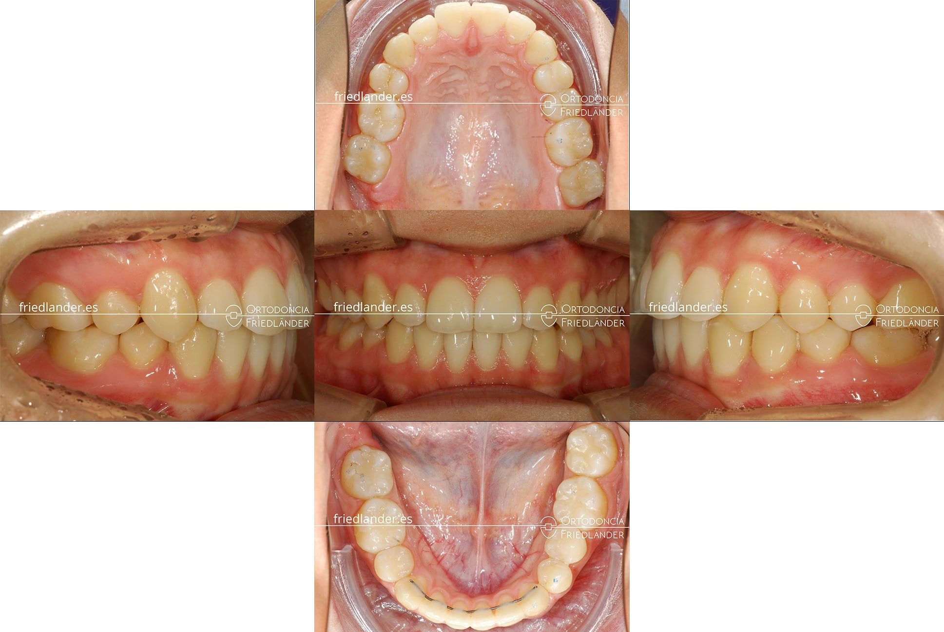
Resultados del tratamiento
La parte difícil de este caso fue el engranaje final de los dientes y la simetría entre los caninos. La paciente acabó con el tratamiento muy contenta y sus expectativas han sido cumplidos; aquí se puede ver los resultados a los 17 meses de tratamiento.

Imagen de la arcada superior donde se puede ver el desplazamiento de la línea media al centra de la arcada.

[contacto]
Por: Clínica FriedlanderPaciente de 12 años, acude con sus padres para «arreglarse la boca», presenta arcadas dentarias estrechas, apiñamiento moderado/severo y clase II (mandíbula[...]
Por: Clínica FriedlanderEste caso es un retratamiento, es decir, un tratamiento de una recidiva de un antiguo tratamiento de ortodoncia. La paciente[...]
Por: Clínica Friedlander¡Descubre cómo lograr tu mejor sonrisa! Reserva una consulta ahora y transforma tu salud dental. Llámanos ahoraReserva una cita Tratamiento[...]
Por: Clínica FriedlanderTratamiento con ortodoncia fija y microtornillos (Mordida abierta) – Caso 42. Hoy presento un tratamiento de un paciente con mordida[...]
Por: Clínica FriedlanderPaciente de 28 años de edad que presenta un ligero apiñamiento en la arcada inferior. La paciente nos comenta que quiere[...]
Por: Clínica Friedlander¡Descubre cómo lograr tu mejor sonrisa! Reserva una consulta ahora y transforma tu salud dental. Llámanos ahoraReserva una cita Tratamiento[...]







No hay comentarios aún.