Clínica Friedländer nace de la inquietud de unir en un solo equipo profesionales honestos e implicados que se dedican en exclusiva a su especialidad y que aman su profesión. Nuestros pacientes son personas que valoran la calidad, que buscan profesionales altamente capacitados y buscan establecer un lazo de confianza para el cuidado de su salud dental.
Tratamiento con ortodoncia lingual invisible STb (Apiñamiento ligero) – Caso 8

Paciente de 28 años de edad que presenta un ligero apiñamiento en la arcada inferior. La paciente nos comenta que quiere llevar ortodoncia invisible y solo quiere que le corrijamos el apiñamiento inferior. Hay que decir que en estos casos hacemos un estudio más rápido (que incluye las fotos, los modelos y las radiografías) y solo tratamos los casos que el resto de la boca lo tienen correctamente.
En este caso escogí la ortodoncia lingual invisible «social six» y tuve que hacer «Stripping» o reducción interproximal para ganar espacio.
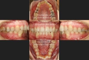
Aquí se puede ver la foto inicial y justo después de colocar los brackets linguales invisibles

Fase intermedia del tratamiento y foto final después de colocar la retención fija.

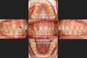
El antes y el después del tratamiento (antes de colocar la retención fija)

Este caso se trató con ortodoncia lingual invisible social six, pero también podríamos escoger invisalign lite, ortodoncia lingual invisible incognito lite y también con brackets exteriores.
[contacto]
Por: Clínica FriedlanderPaciente de 28 años de edad que presenta un ligero apiñamiento en la arcada inferior. La paciente nos comenta que quiere[...]
Por: Clínica Friedlander¡Descubre cómo lograr tu mejor sonrisa! Reserva una consulta ahora y transforma tu salud dental. Llámanos ahoraReserva una cita Tratamiento[...]
Por: Clínica Friedlander¡Descubre cómo lograr tu mejor sonrisa! Reserva una consulta ahora y transforma tu salud dental. Llámanos ahoraReserva una cita Tratamiento[...]
Por: Clínica FriedlanderTratamiento con ortodoncia fija y microtornillos (Mordida abierta) – Caso 42. Hoy presento un tratamiento de un paciente con mordida[...]
Por: Clínica FriedlanderPaciente de 12 años, acude con sus padres para «arreglarse la boca», presenta arcadas dentarias estrechas, apiñamiento moderado/severo y clase II (mandíbula[...]
Por: Clínica FriedlanderEste caso es un retratamiento, es decir, un tratamiento de una recidiva de un antiguo tratamiento de ortodoncia. La paciente[...]









No hay comentarios aún.