Clínica Friedländer nace de la inquietud de unir en un solo equipo profesionales honestos e implicados que se dedican en exclusiva a su especialidad y que aman su profesión. Nuestros pacientes son personas que valoran la calidad, que buscan profesionales altamente capacitados y buscan establecer un lazo de confianza para el cuidado de su salud dental.
Tratamiento de mordida abierta y sonrisa gingival posterior con microtornillos y brackets estéticos – caso 47

Reserva una consulta ahora y transforma tu salud dental.

Tratamiento de mordida abierta y sonrisa gingival posterior
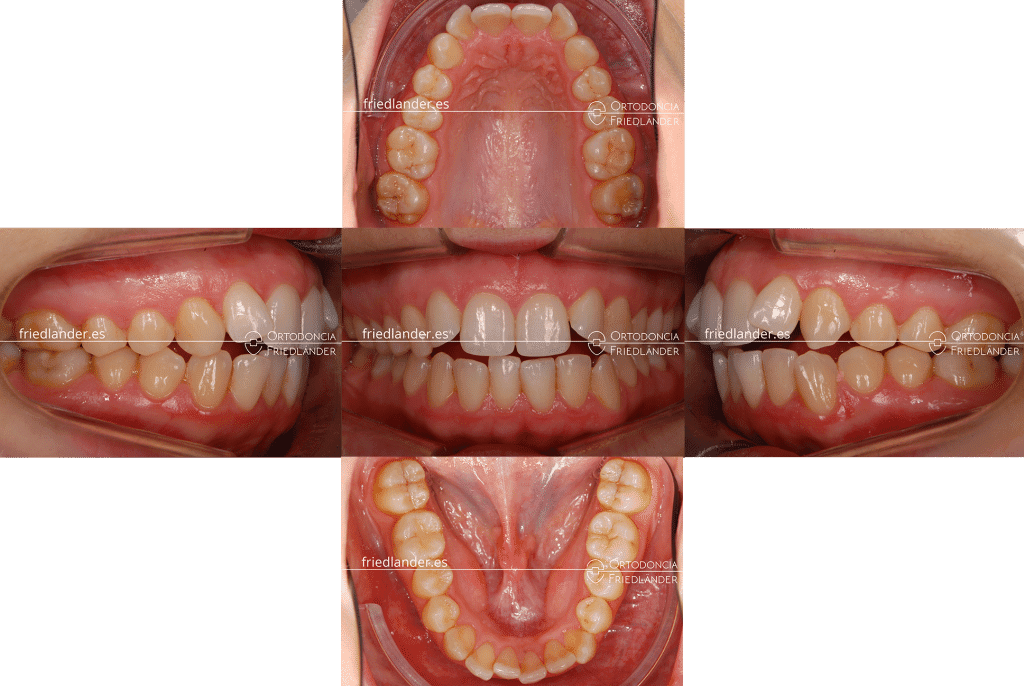
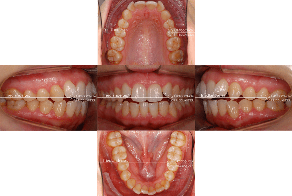
El siguiente caso trata de una paciente que buscaba una solución para su problema de mordida abierta.

En la exploración intra-oral de la primera visita pudimos ver que la paciente presenta una ligera clase II (mandíbula retruida), una mordida abierta anterior y desgastes en muchos dientes. En su búsqueda por una solución a su problema dental, la paciente había ido a otro ortodoncista en Barcelona y éste le quería extraer dos dientes de arriba para poder cerrarle la mordida y corregir su clase II. En nuestra clínica hace años que hemos sustituido las extracciones en muchos casos por el uso predecible de microtornillos. (como en los casos 46, 42, 39)
Análisis de la sonrisa
Al hacer el estudio de ortodoncia y el análisis de la sonrisa nos dimos cuenta que la paciente presenta una sonrisa gingival posterior señalada por las líneas rojas, una línea de sonrisa inversa señalada por la línea blanca. La línea de los dientes tiene que seguir la forma del labio inferior y en la imagen podemos ver que es inversa a la forma del labio. Por otro lado la exposición del incisivo superior es correcta así que no debemos mover este incisivo en nuestro tratamiento.

Plan de tratamiento
Nuestro plan de tratamiento se basa en mecánica compleja con microtornillos para poder intruir los molares superiores (subirlos) sin alterar la posición de los incisivos superiores, de está manera podemos cumplir dos objetivos del tratamiento cerrar la mordida abierta y mejorar la estética de la sonrisa, además de no tener que extraer dos dientes sanos.

Hay que decir que el uso de microtornillos es casi indoloro y muy práctico para conseguir movimientos complejos de una manera sencilla.
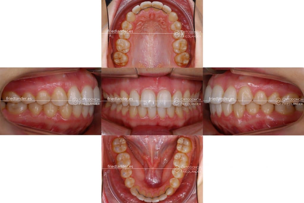
Resultados del tratamiento de ortodoncia
Tras tan solo 13 meses de tratamiento de ortodoncia hemos podido cerrar la mordida y conseguir una buena mordida.

Mejora de la sonrisa
Se puede ver que hemos podido corregir la sonrisa gingival posterior y la linea de la sonrisa sigue la linea del labio inferior

[contacto]
Por: Clínica FriedlanderEste caso es un retratamiento, es decir, un tratamiento de una recidiva de un antiguo tratamiento de ortodoncia. La paciente[...]
Por: Clínica FriedlanderTratamiento con ortodoncia fija y microtornillos (Mordida abierta) – Caso 42. Hoy presento un tratamiento de un paciente con mordida[...]
Por: Clínica Friedlander¡Descubre cómo lograr tu mejor sonrisa! Reserva una consulta ahora y transforma tu salud dental. Llámanos ahoraReserva una cita Tratamiento[...]
Por: Clínica FriedlanderPaciente de 12 años, acude con sus padres para «arreglarse la boca», presenta arcadas dentarias estrechas, apiñamiento moderado/severo y clase II (mandíbula[...]
Por: Clínica FriedlanderPaciente de 28 años de edad que presenta un ligero apiñamiento en la arcada inferior. La paciente nos comenta que quiere[...]
Por: Clínica Friedlander¡Descubre cómo lograr tu mejor sonrisa! Reserva una consulta ahora y transforma tu salud dental. Llámanos ahoraReserva una cita Tratamiento[...]







No hay comentarios aún.