Clínica Friedländer nace de la inquietud de unir en un solo equipo profesionales honestos e implicados que se dedican en exclusiva a su especialidad y que aman su profesión. Nuestros pacientes son personas que valoran la calidad, que buscan profesionales altamente capacitados y buscan establecer un lazo de confianza para el cuidado de su salud dental.
Tratamiento multidisciplinar de agenesias dentales con ortodoncia fija de autoligado, implantes y estética dental – Caso 44

Reserva una consulta ahora y transforma tu salud dental.

Tratamiento multidisciplinar de las agenesias dentales
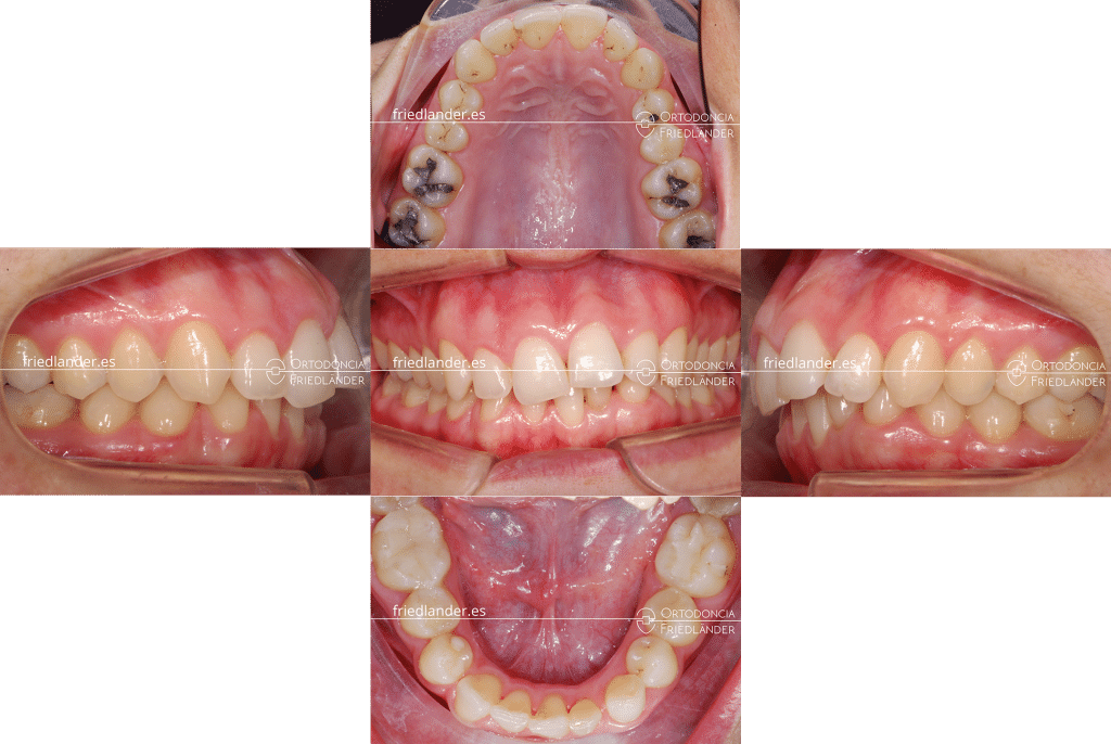
Esta entrada es sobre un tratamiento multidisciplinar de una paciente de 35 años que presenta agenesias de 3 dientes mandibulares. La agenesia dental es la falta de formación de algún diente, puede suceder por muchos motivos el principal de ellos es genético; en nuestro blog pronto publicaré una entrada más detallada y extensa sobre las agenesias dentales.
En este caso los dientes ausentes son dos incisivos inferiores del lado izquierdo y el canino inferior izquierdo. Estas agenesias son bastante raras ya que las más frecuentes son de las muelas de juicio, incisivos laterales superiores y segundos premolares inferiores (los casos 16 y 17 son dos tratamientos de agenesias de segundos premolares inferiores solucionados de dos maneras diferentes). En la primera visita, la paciente nos comenta y le preocupa que algún diente de leche, todavía presente en boca, tiene movilidad, tiene miedo de perderlo y quedarse con un hueco entre los dientes. Normalmente la presencia de un diente de leche en la edad adulta nos puede indicar que el diente definitivo que le sigue está ausente. Mediante una radiografía panorámica (una ortopantomografía) se diagnostica rapidamente las agenesias que tiene la paciente.


El tratamiento de las agenesias dentales implica un tratamiento multidisciplinar, un tratamiento donde intervienen varios profesionales para poder dar solución al problema que presneta la paciente, sobretodo si las agenesias son de dientes anteriores. La solución inmediata, pero no la mejor es la colocación de implantes. En un caso así la colocación de implantes sin planificación en equipo podría comprometer el resultado final del tratamiento.

Estudio y plan de tratamiento
Después del estudio de ortodoncia tomamos la decisión junto con la paciente de realizar un tratamiento que se parece en su filosofía a un tratamiento de ortodoncia de extracción de un incisivo inferior (caso 4, caso 5, caso 6 ). Es decir, sustituir 3 dientes ausentes por 2 dientes sobre implantes dentales. Decidimos abrir espacio para un implante en la zona posterior, cerrar ligeramente el espacio de las agenesias y colocar un solo implante en este espacio (personalmente creo que cuantos menos implantes posible mejor para la paciente, sobretodo en zona anterior). Los 3 incisivos que dejariamos (2 de la paciente y un implante) se tendrian que hacer ligeramente más anchos usando composites o resinas (pequeñas reconstrucciones).
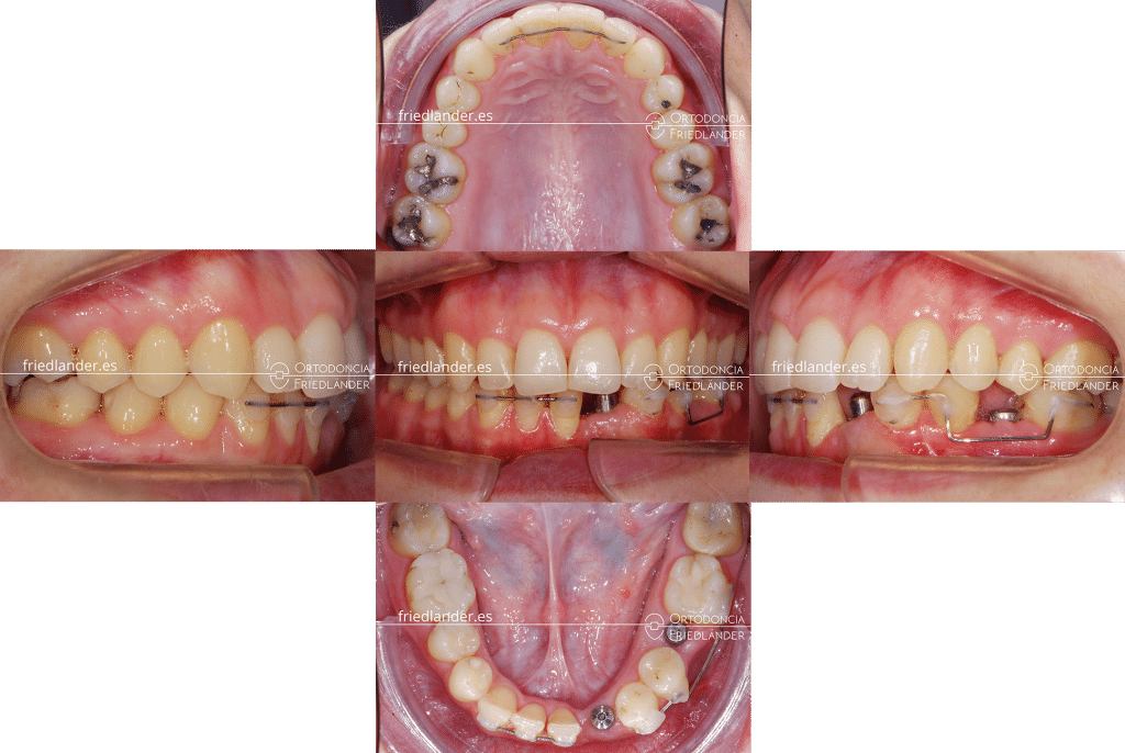
Después de unos 22 meses de tratamiento de ortodoncia, aproximadamente, hemos podido abrir espacio en la zona posterior para un implante, hemos cerrado el espacio ligeramente en zona anterior y hemos dejado un pequeño espacio para poder hacer los incisivos inferiores un poco más anchos. En la siguiente imagen se puede ver los espacios creados con los implantes correspondientes colocados. Los alambres que se ven en la imagen son retenedores temporales que evitan movimientos indeseados mientras se espera a la integración de los implantes (se llevan 3-4 meses).

Finalmente se colocan las coronas sobre los implantes y se realizan la reconstrucciones necesarias. El resultado final del tratamiento es bueno y la paciente acabó muy contenta.


Comparativa de antes y después con la boca abierta.

[contacto]
Por: Clínica FriedlanderPaciente de 12 años, acude con sus padres para «arreglarse la boca», presenta arcadas dentarias estrechas, apiñamiento moderado/severo y clase II (mandíbula[...]
Por: Clínica FriedlanderEste caso es un retratamiento, es decir, un tratamiento de una recidiva de un antiguo tratamiento de ortodoncia. La paciente[...]
Por: Clínica Friedlander¡Descubre cómo lograr tu mejor sonrisa! Reserva una consulta ahora y transforma tu salud dental. Llámanos ahoraReserva una cita Tratamiento[...]
Por: Clínica FriedlanderTratamiento con ortodoncia fija y microtornillos (Mordida abierta) – Caso 42. Hoy presento un tratamiento de un paciente con mordida[...]
Por: Clínica FriedlanderPaciente de 28 años de edad que presenta un ligero apiñamiento en la arcada inferior. La paciente nos comenta que quiere[...]
Por: Clínica Friedlander¡Descubre cómo lograr tu mejor sonrisa! Reserva una consulta ahora y transforma tu salud dental. Llámanos ahoraReserva una cita Tratamiento[...]










No hay comentarios aún.