Clínica Friedländer nace de la inquietud de unir en un solo equipo profesionales honestos e implicados que se dedican en exclusiva a su especialidad y que aman su profesión. Nuestros pacientes son personas que valoran la calidad, que buscan profesionales altamente capacitados y buscan establecer un lazo de confianza para el cuidado de su salud dental.
Caso 1 Tratamiento con brackets de autoligado y cuatro extracciones de premolares (Apiñamiento severo y encías delicadas)

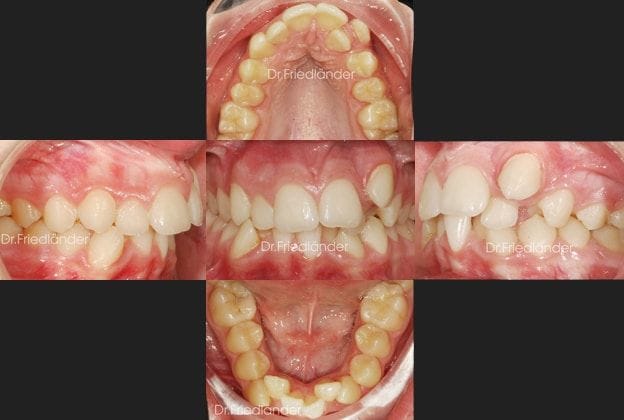
En este caso no tuve más remedio que extraer 4 premolares en el tratamiento para poder hacer espacio a los demás dientes sin perjudicar la salud de las encías. Como se puede observar en las imágenes, la situación inicial es grave con respecto al apiñamiento y las encías tan delicadas.
Después del estudio de las radiografías, modelos y fotos que siempre hago, he llegado, junto con la paciente, a la decisión de que el mejor tratamiento de ortodoncia para su boca serían las 4 extracciones. (esta paciente fue tratada con brackets de autoligado y 4 microtornillos).
Reserva una consulta ahora y transforma tu salud dental.

Extracción de premolares, fase inicial del tratamiento
Vemos la situación inicial de la boca de la paciente y el apiñamiento y salud de sus encías:

Después de 20 meses de tratamiento con ortodoncia fija de autoligado.
Foto final de tratamiento de extracción

[contacto]
Por: Clínica FriedlanderEste caso es un retratamiento, es decir, un tratamiento de una recidiva de un antiguo tratamiento de ortodoncia. La paciente[...]
Por: Clínica FriedlanderTratamiento con ortodoncia fija y microtornillos (Mordida abierta) – Caso 42. Hoy presento un tratamiento de un paciente con mordida[...]
Por: Clínica Friedlander¡Descubre cómo lograr tu mejor sonrisa! Reserva una consulta ahora y transforma tu salud dental. Llámanos ahoraReserva una cita Tratamiento[...]
Por: Clínica FriedlanderPaciente de 12 años, acude con sus padres para «arreglarse la boca», presenta arcadas dentarias estrechas, apiñamiento moderado/severo y clase II (mandíbula[...]
Por: Clínica FriedlanderPaciente de 28 años de edad que presenta un ligero apiñamiento en la arcada inferior. La paciente nos comenta que quiere[...]
Por: Clínica Friedlander¡Descubre cómo lograr tu mejor sonrisa! Reserva una consulta ahora y transforma tu salud dental. Llámanos ahoraReserva una cita Tratamiento[...]










No hay comentarios aún.