Clínica Friedländer nace de la inquietud de unir en un solo equipo profesionales honestos e implicados que se dedican en exclusiva a su especialidad y que aman su profesión. Nuestros pacientes son personas que valoran la calidad, que buscan profesionales altamente capacitados y buscan establecer un lazo de confianza para el cuidado de su salud dental.
Caso 11 Tratamiento con brackets de autoligado y dos extracciones superiores (Clase II)

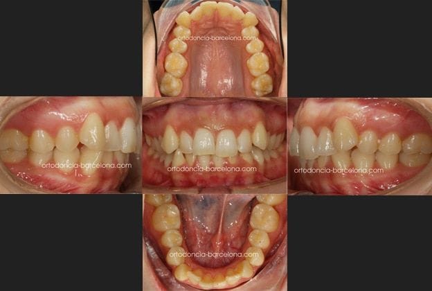
Paciente de 20 años que viene a la consulta para valorar tratamiento de ortodoncia, nos comenta que no le gustan sus caninos superiores.
En la primera visita observamos que la paciente una clase II, con falta de espacio para los caninos superiores, apiñamiento inferior moderado, línea media inferior desviada, una tendencia a la mordida abierta, una encía muy delicada y la falta de nivelación de los márgenes gingivales .

Después de hacer el estudio de ortodoncia hemos barajado varias opciones;
1. Tratamiento sin extracciones, y poner un aparato de avance mandibular tipo Forsus o Twin-Force.
– Fue descartado porque al avanzar tanto empeoraríamos mucho el estado de las encías de la paciente
2. Distalar, o mover hacia atrás los dientes superiores con microtornillos.
– Es una buena opción aunque supone un tratamiento más largo y más complejo y además podríamos empeorar la mordida abierta.
3. Tratamiento con 2 extracciones de primeros premolares superiores con 2 microtornillos
– El perfil de la paciente lo permitía y así sería el tratamiento más sencillo y rápido, pero supone la extracción de 2 premolares sanos.
Las 3 opciones fueron consultadas y comentadas con la paciente y finalmente ella escogió el tratamiento con 2 extracción de premolares por la rapidez y simplicidad del tratamiento.
Entre las varias opciones de aparatos; invisalign, Incognito ortodoncia lingual invisible, ortodoncia de autoligado o ortodoncia convencional, la paciente escogió los brackets de autoligado.
Después de unos 20 meses de tratamiento este fue el resultado

La serie de fotos de antes y después

[contacto]
Por: Clínica FriedlanderPaciente de 12 años, acude con sus padres para «arreglarse la boca», presenta arcadas dentarias estrechas, apiñamiento moderado/severo y clase II (mandíbula[...]
Por: Clínica FriedlanderEste caso es un retratamiento, es decir, un tratamiento de una recidiva de un antiguo tratamiento de ortodoncia. La paciente[...]
Por: Clínica Friedlander¡Descubre cómo lograr tu mejor sonrisa! Reserva una consulta ahora y transforma tu salud dental. Llámanos ahoraReserva una cita Tratamiento[...]
Por: Clínica FriedlanderTratamiento con ortodoncia fija y microtornillos (Mordida abierta) – Caso 42. Hoy presento un tratamiento de un paciente con mordida[...]
Por: Clínica FriedlanderPaciente de 28 años de edad que presenta un ligero apiñamiento en la arcada inferior. La paciente nos comenta que quiere[...]
Por: Clínica Friedlander¡Descubre cómo lograr tu mejor sonrisa! Reserva una consulta ahora y transforma tu salud dental. Llámanos ahoraReserva una cita Tratamiento[...]










No hay comentarios aún.