Clínica Friedländer nace de la inquietud de unir en un solo equipo profesionales honestos e implicados que se dedican en exclusiva a su especialidad y que aman su profesión. Nuestros pacientes son personas que valoran la calidad, que buscan profesionales altamente capacitados y buscan establecer un lazo de confianza para el cuidado de su salud dental.
Caso 41 Tratamiento con aparato de Herbst, ortodoncia fija de autoligado y carillas de composite (Avance mandibular)

El siguiente tratamiento es de Laura, una paciente adolescente tratada con aparato de Herbst y ortodoncia fija de autoligado; la finalización estética del caso se hizo con carillas de composite en los incisivos superiores.
Reserva una consulta ahora y transforma tu salud dental.

Primera Visita
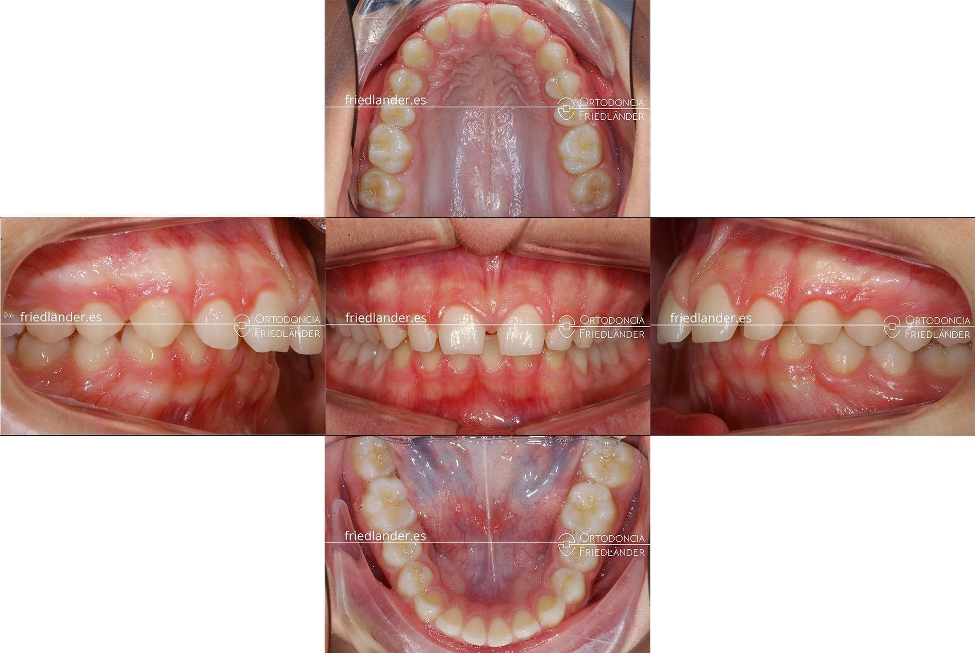
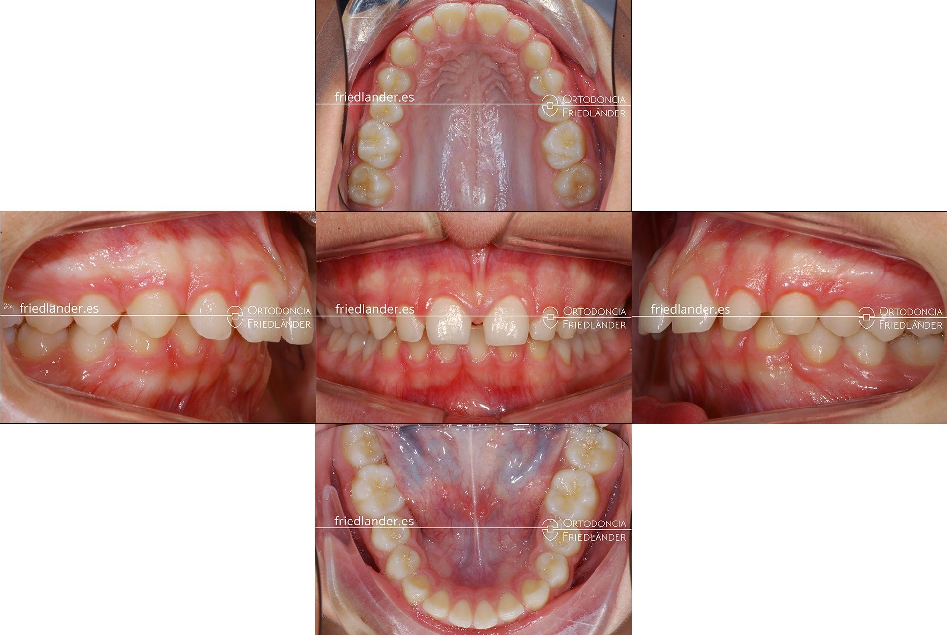
El motivo de la consulta fue que a la paciente no le gustaban los espacios entre los incisivos superiores. En la exploración clínica, de la primera visita, se observa una clase II (mandíbula retruida) con una desviación mandibular hacia la derecha de la paciente y con el resalte aumentado, diastemas (espacios) entre los incisivos superiores e inferiores y una alteración de forma de los incisivos superiores; los incisivos laterales son microdónticos (muy pequeños) y los incisivos centrales tiene forma de «tonel» son más ancho en la parte media.

Después de realizar el estudio de ortodoncia explicamos a la paciente y sus padres qué tratamiento proponemos y porqué solo arreglar los 4 dientes anteriores no era suficiente; después de comentar el estudio de ortodoncia con ellos hemos escogido el tratamiento con aparato de Herbst para avanzar y centrar la mandíbula y así corregir las clase II, continuar con ortodoncia fija de autoligado y acabar con carillas estéticas para mejorar las forma de los dientes anteriores.
Tratamiento de ortodoncia
El tratamiento con el aparato de Herbst va seguido por una fase de ortodoncia fija (brackets) para acabar de colocar los dientes en su sitio y conseguir encajar los dientes superiores con los inferiores. En casos que requieren intervención por parte de otro profesional, como en este caso por parte de una especialista en estética dental, hay que hacer una «interconsulta» durante el tratamiento con ortodoncia fija (los brackets). El especialista en estética define cómo y dónde va a necesitar los espacios para la reconstrucción de los dientes anteriores. En la siguiente imagen se puede ver la distribución de los espacios indicados para este caso.


Para poder dar la máxima estética en este caso se hicieron también unos alargamientos de corona previamente a las carillas estéticas. En las siguientes imágenes se puede la boca antes de la ortodoncia, después de la ortodoncia y después de las carillas estéticas. Resultado despúes de 20 meses de tratamiento de ortodoncia, alargamiento de corona y carillas estéticas.


Para ver más casos tratados con el aparato de Herbst: caso 2, caso 3, caso 14, caso 28, caso 33.
[contacto]
Por: Clínica FriedlanderPaciente de 12 años, acude con sus padres para «arreglarse la boca», presenta arcadas dentarias estrechas, apiñamiento moderado/severo y clase II (mandíbula[...]
Por: Clínica FriedlanderPaciente de 28 años de edad que presenta un ligero apiñamiento en la arcada inferior. La paciente nos comenta que quiere[...]
Por: Clínica Friedlander¡Descubre cómo lograr tu mejor sonrisa! Reserva una consulta ahora y transforma tu salud dental. Llámanos ahoraReserva una cita Tratamiento[...]
Por: Clínica Friedlander¡Descubre cómo lograr tu mejor sonrisa! Reserva una consulta ahora y transforma tu salud dental. Llámanos ahoraReserva una cita Tratamiento[...]
Por: Clínica FriedlanderEste caso es un retratamiento, es decir, un tratamiento de una recidiva de un antiguo tratamiento de ortodoncia. La paciente[...]
Por: Clínica FriedlanderTratamiento con ortodoncia fija y microtornillos (Mordida abierta) – Caso 42. Hoy presento un tratamiento de un paciente con mordida[...]










No hay comentarios aún.