Clínica Friedländer nace de la inquietud de unir en un solo equipo profesionales honestos e implicados que se dedican en exclusiva a su especialidad y que aman su profesión. Nuestros pacientes son personas que valoran la calidad, que buscan profesionales altamente capacitados y buscan establecer un lazo de confianza para el cuidado de su salud dental.
Tratamiento con Invisalign (Apiñamiento e incisivos inferiores extruidos) – Caso 20

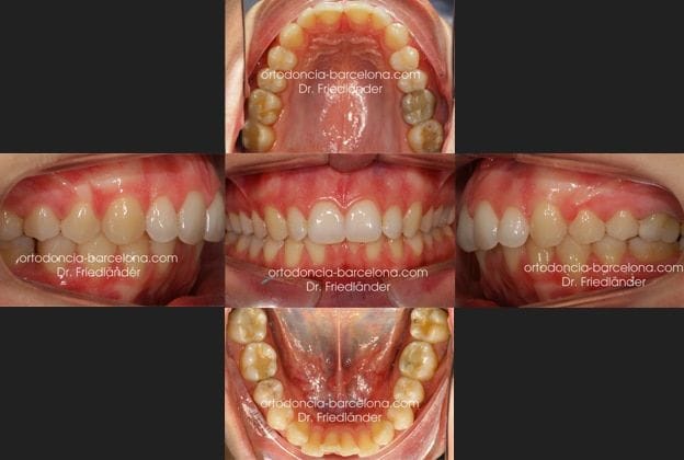
Este caso es un re-tratamiento de una paciente de 30 años que ya había llevado ortodoncia fija (brackets).
Durante años había ido sin retenedores, ni fijos ni «de quitar y poner» y los resultados no se han mantenido en el tiempo.

Presenta un apiñamiento moderado, una sobremordida aumentada por la extrusión (la sobreerupción) de los incisivos inferiores. Los incisivos inferiores se desgastan excesivamente por su malposición.
La paciente no quería volver a llevar brackets y pidió otra opción. En estos casos el tratamiento que más nos gusta es con la ortodoncia transparente Invisalign, prácticamente invisible, ya que presenta una excelente estética y una gran comodidad a la hora de llevarlo.
Después de hacer la 1a visita, comentar y aclarar con la paciente todos los detalles sobre los problemas dentales que presenta y además de sus preocupaciones estéticas decidimos empezar con Invisalign Full.
Detalle del Clincheck (el software de planificación en 3D de Invisalign)
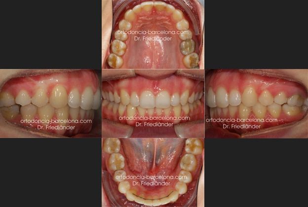
Resultados después de 12 meses

Comparación de la planificación con el Clincheck con la boca de la paciente.

comparación del antes y después del tratamiento
[contacto]
Por: Clínica FriedlanderPaciente de 28 años de edad que presenta un ligero apiñamiento en la arcada inferior. La paciente nos comenta que quiere[...]
Por: Clínica Friedlander¡Descubre cómo lograr tu mejor sonrisa! Reserva una consulta ahora y transforma tu salud dental. Llámanos ahoraReserva una cita Tratamiento[...]
Por: Clínica FriedlanderEste caso es un retratamiento, es decir, un tratamiento de una recidiva de un antiguo tratamiento de ortodoncia. La paciente[...]
Por: Clínica Friedlander¡Descubre cómo lograr tu mejor sonrisa! Reserva una consulta ahora y transforma tu salud dental. Llámanos ahoraReserva una cita Tratamiento[...]
Por: Clínica FriedlanderPaciente de 12 años, acude con sus padres para «arreglarse la boca», presenta arcadas dentarias estrechas, apiñamiento moderado/severo y clase II (mandíbula[...]
Por: Clínica FriedlanderTratamiento con ortodoncia fija y microtornillos (Mordida abierta) – Caso 42. Hoy presento un tratamiento de un paciente con mordida[...]









No hay comentarios aún.