Clínica Friedländer nace de la inquietud de unir en un solo equipo profesionales honestos e implicados que se dedican en exclusiva a su especialidad y que aman su profesión. Nuestros pacientes son personas que valoran la calidad, que buscan profesionales altamente capacitados y buscan establecer un lazo de confianza para el cuidado de su salud dental.
Tratamiento con Invisalign Full y elásticos (Clase II) – Caso 12

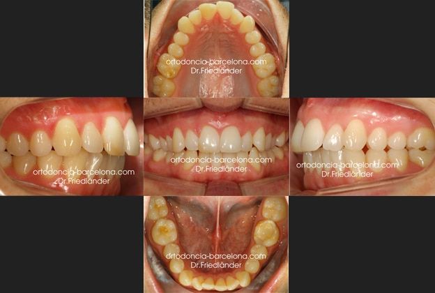
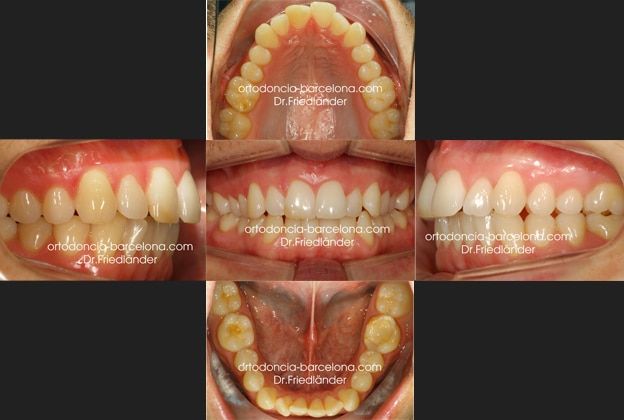
El siguiente tratamiento con Invisalign Full es de un paciente de 34 años que acude a nuestra consulta por motivos estéticos. Ya en la primera visita se observó la clase II (mandíbula retruída) y desviada hacía la izquierda; y una tendencia a la mordida abierta por deglución atípica. (la lengua empuja los dientes en lugar de subir al paladar a la hora de tragar).
Reserva una consulta ahora y transforma tu salud dental.

Tratamiento con Invisalign de 20 meses contra una clase II desviada a la izquierda y una mordida abierta
El paciente, por motivos de trabajo y comodidad, estaba decidido de ponerse Invisalign, ortodoncia transparente casi invisible.
Después de hacer el estudio de ortodoncia que hacemos en todos los casos, se decidió junto con el paciente de seguir adelante con Invisalign y elásticos para acabar de mejorar la oclusión (la mordida) del paciente consiguiendo una clase I (que es la relación correcta que buscamos). Explicamos al paciente que la corrección de una clase II de esta magnitud, 4-5mm, es complejo pero con una buena colaboración por su parte se podría hacer (se tiene que colocar los elásticos durante casi todo el tratamiento).
Fotos de antes del tratamiento

Todos los casos de Invisalign se planifican en 3D con el programa de invisalign; Clincheck; con el cual planificamos todos los aspectos del tratamiento. Antes de aceptar el plan del tratamiento se lo enseñamos la paciente y él es quien lo acepta.
Simulación del Clincheck,

Después de 20 meses y un refinamiento se consiguió clase I en ambos lados y centrar la línea media inferior con la superior.

Podemos ver que el final del tratamiento en boca coincide perfectamente con la planificación del Clincheck final
Simulación del Clincheck final

Antes y después

Cambios en la sonrisa:

[contacto]
Por: Clínica FriedlanderTratamiento con ortodoncia fija y microtornillos (Mordida abierta) – Caso 42. Hoy presento un tratamiento de un paciente con mordida[...]
Por: Clínica FriedlanderPaciente de 12 años, acude con sus padres para «arreglarse la boca», presenta arcadas dentarias estrechas, apiñamiento moderado/severo y clase II (mandíbula[...]
Por: Clínica Friedlander¡Descubre cómo lograr tu mejor sonrisa! Reserva una consulta ahora y transforma tu salud dental. Llámanos ahoraReserva una cita Tratamiento[...]
Por: Clínica FriedlanderEste caso es un retratamiento, es decir, un tratamiento de una recidiva de un antiguo tratamiento de ortodoncia. La paciente[...]
Por: Clínica Friedlander¡Descubre cómo lograr tu mejor sonrisa! Reserva una consulta ahora y transforma tu salud dental. Llámanos ahoraReserva una cita Tratamiento[...]
Por: Clínica FriedlanderPaciente de 28 años de edad que presenta un ligero apiñamiento en la arcada inferior. La paciente nos comenta que quiere[...]










No hay comentarios aún.