Clínica Friedländer nace de la inquietud de unir en un solo equipo profesionales honestos e implicados que se dedican en exclusiva a su especialidad y que aman su profesión. Nuestros pacientes son personas que valoran la calidad, que buscan profesionales altamente capacitados y buscan establecer un lazo de confianza para el cuidado de su salud dental.
Tratamiento con Invisalign Full y stripping (Apiñamiento moderado) – Caso 21

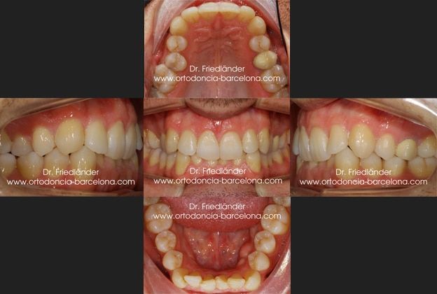
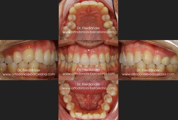
Este es el caso de un paciente de 38 años que solicita tratamiento de ortodoncia invisible Invisalign para mejorar su estética y función dentales.
El paciente presenta arcadas cuadradas, con apiñamiento moderado inferior, márgenes gingivales desnivelados y mordida cruzada de un diente en el lado derecho del paciente.

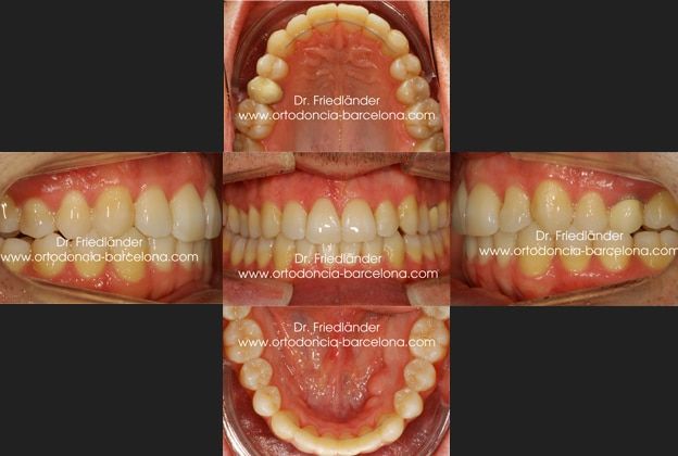
Después de hacer el estudio de ortodoncia se dicidió tratar con Invisalign y usar «stripping» para ayudar a generar espacios para el apiñamiento.
después de un tratamiento que duró 20 meses el pacientes estaba muy contento y estos son los resultados obtenidos

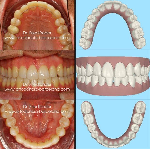
Planificación con el ClinCheck, el software en 3D de Invisalign.

[contacto]
Sobre el autor: Clínica Friedlander
Artículos relacionados
Casos más vistos
Por: Clínica FriedlanderPaciente de 12 años, acude con sus padres para «arreglarse la boca», presenta arcadas dentarias estrechas, apiñamiento moderado/severo y clase II (mandíbula[...]
Por: Clínica FriedlanderEste caso es un retratamiento, es decir, un tratamiento de una recidiva de un antiguo tratamiento de ortodoncia. La paciente[...]
Por: Clínica Friedlander¡Descubre cómo lograr tu mejor sonrisa! Reserva una consulta ahora y transforma tu salud dental. Llámanos ahoraReserva una cita Tratamiento[...]
Por: Clínica FriedlanderTratamiento con ortodoncia fija y microtornillos (Mordida abierta) – Caso 42. Hoy presento un tratamiento de un paciente con mordida[...]
Por: Clínica FriedlanderPaciente de 28 años de edad que presenta un ligero apiñamiento en la arcada inferior. La paciente nos comenta que quiere[...]
Por: Clínica Friedlander¡Descubre cómo lograr tu mejor sonrisa! Reserva una consulta ahora y transforma tu salud dental. Llámanos ahoraReserva una cita Tratamiento[...]









No hay comentarios aún.