Clínica Friedländer nace de la inquietud de unir en un solo equipo profesionales honestos e implicados que se dedican en exclusiva a su especialidad y que aman su profesión. Nuestros pacientes son personas que valoran la calidad, que buscan profesionales altamente capacitados y buscan establecer un lazo de confianza para el cuidado de su salud dental.
Tratamiento con ortodoncia convencional y cirugía ortognática bimaxilar (Clase II) – Caso 13

Este paciente de 30 años acudió a la consulta para arreglarse la boca, ya en la primera visita le avisamos que era el problema esquelético (de los huesos) era tan grande que solo con ortodoncia no podríamos arreglarlo, le comentamos la opción de ortodoncia y cirugía ortognática. El paciente nos comentó que tenía dificultades de respirar por la nariz, que por las noches ronca, se despierta con la boca muy seca y no consigue dormir mas de 5 horas seguidas.
Enviamos al paciente para que se haga las pruebas de apnea del sueños, «sleep apnea» en inglés, en un laboratorio del sueño y efectivamente confirmamos que tenía apnea del sueño moderada, por el colapso de las vías aéreas. El paciente decidió pasar por un tratamiento combinado de ortodoncia y cirugía ortognática. Llevó ortodoncia durante 10 meses, se operó y después estuvimos terminando el caso durante otro 5 meses.
Hay casos en los que la discrepancia entre los huesos es demasiado grande como para que la podamos compensar solamente con ortodoncia. Nosotros preparamos la boca antes de la cirugía y el cirujano coloca los huesos en su sitio correcto. Hay que destacar que no es solamente una cirugía estética, sino que mejora las funciones como respiración, masticación y el habla; y aumenta la calidad de vida de los pacientes.
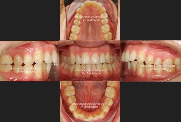
Podemos observar que el paciente presenta, clase II esquelética y dental (mandíbula pequeña y hacia atrás), paladar ojival muy estrecho, tendencia a la mordida abierta, apiñamiento moderado inferior, desviación funcional de la mandíbula con mordida cruzada unilateral. Presenta además unas caras oclusales planas por bruxismo y oclusión traumática en todos los dientes posteriores.

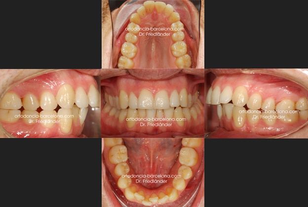
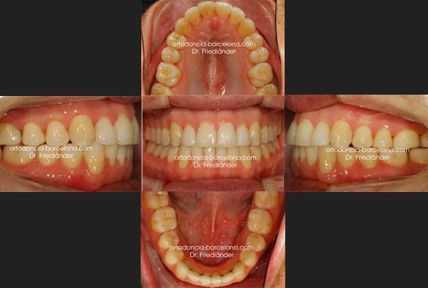
Después de 15 meses de tratamiento el resultado final a nivel dental

Detalle del resalte antes del tratamiento, antes de la cirugía y después del tratamiento

Después de 15 meses de tratamiento el resultado final a nivel facial antes, 4 meses después y 1 año después

La cirugía consistió en avance maxilar de 4mm, avance mandibular de 14mm + avance del mentón, la barbilla, de otros 6mm, expansión palatina de 10mm y se aprovecho para extraer las 4 muelas de juicio.
A parte de la mejoría evidente en la estética facial, el paciente puede respirar mejor por lo que duerme mejor y mastica mejor. Hay que destacar que el tratamiento más eficaz contra la apnea del sueño es la cirugía ortognática, si no tenemos en cuenta la traqueostomía.
Este paciente fue operado por el Dr. Eloy García de Barcelona.
Toda la planificación quirúrgica fue realizada por Germán Vincent.
[contacto]
Por: Clínica FriedlanderEste caso es un retratamiento, es decir, un tratamiento de una recidiva de un antiguo tratamiento de ortodoncia. La paciente[...]
Por: Clínica Friedlander¡Descubre cómo lograr tu mejor sonrisa! Reserva una consulta ahora y transforma tu salud dental. Llámanos ahoraReserva una cita Tratamiento[...]
Por: Clínica FriedlanderPaciente de 12 años, acude con sus padres para «arreglarse la boca», presenta arcadas dentarias estrechas, apiñamiento moderado/severo y clase II (mandíbula[...]
Por: Clínica FriedlanderTratamiento con ortodoncia fija y microtornillos (Mordida abierta) – Caso 42. Hoy presento un tratamiento de un paciente con mordida[...]
Por: Clínica Friedlander¡Descubre cómo lograr tu mejor sonrisa! Reserva una consulta ahora y transforma tu salud dental. Llámanos ahoraReserva una cita Tratamiento[...]
Por: Clínica FriedlanderPaciente de 28 años de edad que presenta un ligero apiñamiento en la arcada inferior. La paciente nos comenta que quiere[...]










No hay comentarios aún.