Estudié Odontología y el Máster en Ortodoncia en la Universidad de Barcelona. Para mí la ortodoncia es mucho más que alinear dientes y trabajo cada día por conseguir la excelencia y estabilidad en los tratamientos que realizamos en nuestra clínica. Me apasiona lograr armonía en todo el sistema masticatorio hasta el último detalle, me mantengo en constante formación, innovando en técnicas y a su vez soy formador de otros profesionales que buscan llevar su práctica al próximo nivel. Me encuentro rodeado de un gran equipo de personas, que al igual que yo, tienen claro que en Clínica Friedländer tratamos personas, no solo dientes.
Ronquido en niños: causas, consecuencias y soluciones.

Si estas leyendo esto es porque eres una mama o un papa, y sabemos que en algun momento de tu vida en esta aventura de la crianza (o por otras razones) has sufrido de noches sin dormir bien, ¿como te sentias al dia siguiente de esa noche? ¿te imaginas sentirte asi cada dia durante meses o anos? Seguro que la respuesta es no, todos sabemos lo mal que se pasa al siguiente dia de no dormir o descansar bien, el ronquido en la etapa infantil, por mas inofensivo que parezca, no deja descansar correctamente a tu hijo o hija y puede tener consecuencias graves en su dia a dia, te lo explicamos con mas detalle en nuestro post de hoy.
Reserva una consulta ahora y transforma tu salud dental.

¿Que es el ronquido?
Primero que nada nos gustaria dejar claro que NUNCA ES NORMAL QUE UN NIÑO/NIÑA RONQUE, es muy importante que lo sepas, si existe ronquido es porque hay una obstruccion de las vias aereas y por lo tanto no esta llegando el 100% de oxigeno al cerebro de tu hijo o hija durante el periodo en que duerme o incluso durante el dia.
El ronquido es el sonido ronco, aspero y grave que se emite a traves de la boca cuando una persona esta durmiendo, en este caso un nino o nina, y que se produce al respirar debido a la vibracion del velo del paladar. Pero el sonido es lo de menos, el ronquido impide un sueno reparador, por lo tanto afecta la calidad de vida de la persona que lo padece.
¿Por que roncan algunos ninos o ninas?
Un nino o nina puede roncar cuando duerme, por muchas razones, algunas pasajeras y otras cronicas, estas son las causas frecuentes del ronquido infantil:
Resfriados o alergias puntuales.
Los ronquidos estan relacionados a los resfriados o casos de alergias, hay que distinguir si es una situacion pasajera o si, en el caso de las alergias se ha cronificado el problema el nino o nina ronca constantemente por ello, como puede ser una rinitis alergica cronica.
Sobrepeso
El ronquido es una consecuencia del sobrepeso u obesidad, tanto en ninos como en adultos. El exceso de peso provoca que exista tejido excesivo en el cuello, y esto cause presion en las vias respiratorias.
Obstruccion de vias respiratorias altas – Cornetes nasales
Es donde se encuentran los cornetes nasales, y que si el nino o nina sufre de alergias pueden sufrir una inflamacion cronica obstruyendo el paso del aire por la nariz y obligando al nino o nina a dormir con la boca abierta para poder respirar.
Obstruccion a nivel de la nasofaringe – Adenoides
Es la parte de atras de la nariz donde se encuentran las adenoides, estas son un tejido linfatico cuya funcion es captar bacterias y crear anticuerpos. Sin embargo, cuando no funcionan adecuadamente crecen en tamano y producen una obstruccion que impide respirar por la nariz. Se dice que cuando las adenoides ocupan mas de un 60% del espacio estan creando una obstruccion.
Obstruccion a nivel de la cavidad oral – Amigdalas
Generalmente provocada por el tamano anormalmente grande de las amigdalas, que al igual que las adenoides tienen la funcion de crear anticuerpos, pero cuando no funcionan de la forma adecuada, o por constantes infecciones, obstruyen el paso del aire.
Paladar ojival
Un paladar estrecho y alto provoca que el conducto nasal sea angosto y se dificulte la respiracion. El paladar ojival o estrecho se puede entender tambien como una consecuencia de la respiracion bucal y en este caso el ronquido, depende de habitos y factores geneticos saber si el paladar es la causa del ronquido o la consecuencia.

Consecuencias del ronquido en ninos y ninas.
Mi hijo ronca, ¿me debo de preocupar? La respuesta es claramente SÍ. Cuando un nino ronca constantemente, hace apneas del sueno es decir, deja de respirar y despues vuelve a respirar con violencia, o cuando el padre o madre se da cuenta de que el nino esta haciendo mucho esfuerzo para respirar, es importante que sea valorado para descubrir la causa o multiples causas que lo causan.
Las consecuencias del ronquido son muchas, puede que tu hijo o hija presente varias de ellas o solo algunas, muchas de ellas mejoran inmediatamente de que sea tratado el problema del ronquido, pero algunas marcan su crecimiento, desarrollo y bienestar a futuro.
Estas son las consecuencias del ronquido en ninos y ninas:
Sindrome de apnea del sueno
La apnea del sueno es un trastorno respiratorio del sueno, cuyo sintoma visible son las pausas de varios segundos en la respiracion mientras se duerme, esta se puede repetir varias veces durante la noche impidiendo que llegue oxigeno suficiente al cerebro, y afectando al patron del sueno impidiendo un descanso profundo y reparador.
Problemas estructurales en la cara
A largo plazo el ronquido deforma la forma del paladar, ya que si existe una obstruccion de vias aereas altas, y la respiracion bucal sera la forma en que el nino o la nina respiren habitualmente. Estas deformaciones en el paladar conllevan maloclusiones, aplanamiento del perfil, cara alargada, ojeras, barbilla hacia atras, y si no se corrige a tiempo puede incluso modificar la postura empujando el cuello hacia adelante para poder respirar.
Problemas neurologicos
El riesgo de padecer hiperactividad o trastorno de deficit de atencion estan altamente ligados al ronquido infantil, esto se debe a la falta de oxigenacion que sufre el cerebro por las noches y la alteracion del patron del sueno, la disminucion de memoria es tambien otra de las consecuencia de los ronquidos.
Problemas de crecimiento
El bajo peso y altura presente en los ninos/as que roncan, puede que se deba a que consumen mas calorias por la noche, por lo cual, fabrican menos hormonas de crecimiento.
Peor calidad de vida
La falta de concentracion durante el dia, bajo rendimiento escolar, mostrarse muy excitados nerviosos o por el contrario con somnolencia, dolores de cabeza, humor depresivo y cansancio, impiden al nino o nina llevar un dia a dia con normalidad y reducen significativamente su calidad de vida.
Incontinencia urinaria cuando duerme
Es muy comun, mas de lo que parece, que la incontinencia urinaria nocturna en la etapa infantil, este asociada a no descansar bien por la noche por los ronquidos y la apnes del sueno.
Falta de apetito
Algunos ninos no comen adecuadamente debido a que las obstrucciones provocadas por las amigdalas (por ejemplo) les impiden tragar comodamente y que son una de las causas del ronquido.
¿Como evitar los ronquidos? Soluciones.
El ronquido como hemos visto en la seccion anterior, no es consecuencia de una unica causa, sino de la asociacion de diferentes factores. Es imprescindible darle la importancia que se merece y no dejarlo pasar, el ronquido infantil es un problema de salud importante y si hay forma de resolverlo (que generalmente la hay) los padres y/o madres deben de atenderlo adecuadamente.
La solucion a los ronquidos pasa primero por un buen estudio y un buen diagnostico donde se evaluen y se descarten todas las posibles causas que esta causando el ronquido en tu peque. Estos son los posibles tratamientos al ronquido infantil, pero te recordamos que siempre hay que tratar cada caso concreto de forma individualizada:
Tratamiento con ortodoncia para los ronquidos en ninos y ninas. Expansion rapida del paladar con disyuntor
Aunque la edad indicada para una primera visita de ortodoncia en Barcelona son los 6 anos, si tu hija o hijo ronca es importante hacer una visita cuanto antes, pues un tratamiento de ortodoncia interceptiva puede tener grandes beneficios y es un tratamiento poco invasivo.
Las vias aereas se encuentran por encima del paladar, al ensanchar el paladar provocamos que exista mas espacio en ellas y por lo tanto el nino o nina respire mejor. En la etapa infantil la sutura del paladar es maleable y los resultados se pueden ver en pocas semanas, los beneficios son muchos, pues no solo estaras ayudando a ampliar las vias aereas, ademas estaremos creando el suficiente espacio para que los dientes permanentes puedan erupcionar sin apinamiento y previniendo futuras extracciones.
En recientes estudios (Vease enlaces referencia a final de la entrada) se ha demostrado la efectividad que tiene el ensanchamiento del paladar en ninos y su relacion con la mejora en los ronquidos y la apnea del sueno. El ensanchamiento del paladar en ninos se hace mediante un disyuntor que esta adherido a las muelas, y se activa cada noche girando un mecanismo en el centro del disyuntor, el cual se va ensanchando poco a poco y consigue expandir el paladar varios milimetros en pocas semanas.

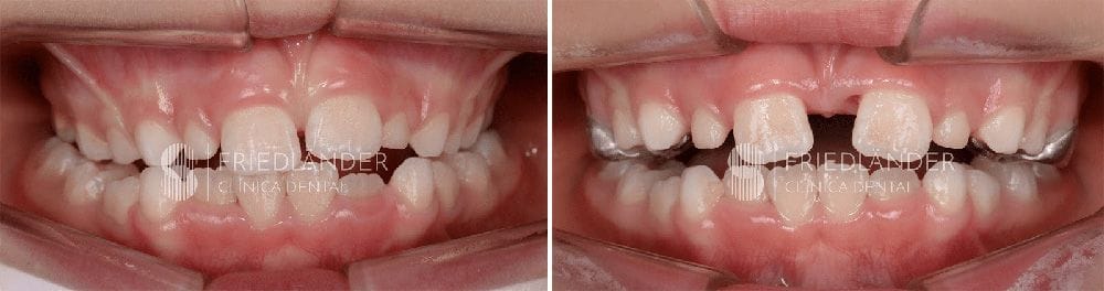
En la siguiente imagen puedes ver la foto de la izquierda antes del tratamiento y la foto de la derecha unas semanas despues, el espacio entre los dos incisivos nos indica que el paladar se esta ensanchando correctamente. El espacio entre estos dientes se cierra por si solo cuando los dientes permanentes comienzan a bajar.

El tratamiento es sencillo de realizar, no requiere ninguna intervencion hospitalaria y los resultados/beneficios se pueden ver rapidamente. Nosotros recomendamos el ensanchamiento rapido del maxilar mediante disyunto como una primera opcion al tratamiento del ronquido infantil.
Tratamiento otorrinolaringologico. Operacion de adenoides y/o amigdalas
Cuando la obstruccion de las vias aereas es ocasionada por las vegetaciones en adenoides o amigdalas muy grandes, la reduccion o extirpacion sera uno de los tratamientos al ronquido infantil. En este caso es el otorrinolaringologo el que pautara lo necesario para conseguir que las vias aereas de tu hijo o hija esten despejadas y respire con normalidad dia y noche.
El tratamiento combinado, es decir, tratamiento ortodoncico y otorrinolaringologico, es el que hasta ahora da los mejores resultados, pues se trata la raiz del problema, es decir la obstruccion de la via aerea y se amplia el conducto por donde pasa el aire.
Tratamiento farmacologico.
Si la razon por la que ronca tu hijo o hija es por la inflamacion de la mucosa nasal causada por alergias (rinitis alergica), es posible que tu otorrinolaringologo pueda prescribirte algun tipo de antiinflamatorio o corticoides para tratar la inflamacion que provoca la alergia y por lo tanto el ronquido.
Conclusiones
Un nino que ronca y no respira correctamente durante la noche tiene un problema de salud.
El ronquido infantil tiene solucion y debe de ser evaluado y tratado cuanto antes para evitar repercusiones inmediatas y a largo plazo en su desarrollo y crecimiento. Es muy importante consultar a un especialista otorrinolaringologo para descartar patologia obstructiva.
Roncar y respirar por la boca tiene un impacto importante en la morfologia facial, cuando el habito de roncar esta establecido, el cartilago de el paladar se modifica para ser una cavidad no solo digestiva, sino tambien respiratoria, y esto provoca alteraciones en la mordida, facciones y postura.
Un sueno sano, es un sueno reparador con una oxigenacion adecuada y la deprivacion de este en la edad infantil tiene graves consecuencias a nivel neurologico, social, fisico y emocional.
Fuentes:
- https://pubmed.ncbi.nlm.nih.gov/27031063/
- https://pubmed.ncbi.nlm.nih.gov/25323221/
- https://pubmed.ncbi.nlm.nih.gov/25790946/
- https://www.aeped.es/sites/default/files/documentos/consenso_nacional_s._apnea_del_sueno_2011.pdf

10 comentarios
Mi hija tiene 4 años hace dos meses la operaron de adenoides los primeros 20 días no ronco pero de hay en adelante volvió a roncar como antes de la cirugía no se que hacer
Hola Elizebeth, es importante hablar con los especialistas que han tratado a tu hija y hacer el seguimiento con ellos, esperamos que lo hayas podido resolver. Un saludo y gracias por leernos! Clínica Friedlander
HoLa Dr, mi hijo tiene 2 meses que lo operaron de adenoides y amígdalas, cauterización de cornetes, sólo como 15 días no ronco antes de las cirugías , roncaba muy feo y de repente no respiraba , pero ahora empezó a roncar de una forma muy fuerte, ya no se que hacer pensé que con la cirugía estaría bien.
Hola Iker, por una parte y antes de nada, te recomendamos realizar esta consulta directamente con el otorrinolaringólogo que ha tratado a tu hijo, y por otro lado hay que entender que muchas veces el hábito de roncar/respirar por la boca esta muy instaurado y requiere tiempo cambiarlo, si tu hijo además presenta ya una deformación del paladar es importante tratarlo (expandirlo) para ir poco a poco modificando su hábito respiratorio. Te recomendamos también consultar con un/una Logopeda. Un saludo y gracias por leernos!