Clínica Friedländer nace de la inquietud de unir en un solo equipo profesionales honestos e implicados que se dedican en exclusiva a su especialidad y que aman su profesión. Nuestros pacientes son personas que valoran la calidad, que buscan profesionales altamente capacitados y buscan establecer un lazo de confianza para el cuidado de su salud dental.
Caso 14 Tratamiento con aparato de Herbst y brackets de autoligado (Clase II)

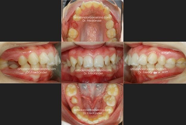
Está paciente de 14 años acudió con sus padres a nuestra consulta para «arreglarse los dientes de arriba», ella se veía el apiñamiento superior y esto era lo que le molestaba.
En la primera visita observamos que tenía un apiñamiento superior con los márgenes gingivales desnivelados, pero además una clase II moderada con la sobremordida u «overbite» aumentada.
Se observa que la paciente está al final del recambio dentario y la radiografía carpal (de la mano) indicaba que ya estaba en el pico de crecimiento puberal, por lo tanto estábamos en el punto ideal para tratar la oclusión con ortopedia, con un aparato de avance mandibular.
Después de hacer el estudio de ortodoncia comentamos con la paciente las opciones que teníamos y que no sería suficiente solamente nivelar los dientes, sino que habría que realizar un tratamiento ortopédico con el aparato de Herbst para mejorar esta oclusión y la relación esquelética de los maxilares.
La paciente y sus padres accedieron y 8 meses después de colocar el aparato de Herbst el recambio dentario había concluido y la clase II fue corregida.
En este punto del tratamiento se colocaron los brackets de autoligado por 8 meses adicionales.
Detalle del resultado final
Pudimos conseguir todos los objetivos del tratamiento, se puede observar una buena intercuspidación en clase I y los márgenes gingivales están correctos.
*Nota para profesionales: En este caso se decidió dejar un resalte ligeramente aumentado con una buena clase I por la discrepancia de Bolton, los incisivos superiores tienen una forma rectangular y si hubiéramos hecho «stripping» la papila habría subido lo que empeoraría la estética.
[contacto]

- Por: Clínica Friedlander¡Descubre cómo lograr tu mejor sonrisa! Reserva una consulta ahora y transforma tu salud dental. Llámanos ahoraReserva una cita Tratamiento[...]
- Por: Clínica FriedlanderTratamiento con ortodoncia fija y microtornillos (Mordida abierta) – Caso 42. Hoy presento un tratamiento de un paciente con mordida[...]
- Por: Clínica Friedlander¡Descubre cómo lograr tu mejor sonrisa! Reserva una consulta ahora y transforma tu salud dental. Llámanos ahoraReserva una cita Tratamiento[...]
- Por: Clínica FriedlanderPaciente de 28 años de edad que presenta un ligero apiñamiento en la arcada inferior. La paciente nos comenta que quiere[...]
- Por: Clínica FriedlanderPaciente de 12 años, acude con sus padres para «arreglarse la boca», presenta arcadas dentarias estrechas, apiñamiento moderado/severo y clase II (mandíbula[...]
- Por: Clínica FriedlanderEste caso es un retratamiento, es decir, un tratamiento de una recidiva de un antiguo tratamiento de ortodoncia. La paciente[...]
No hay comentarios aún.