Clínica Friedländer nace de la inquietud de unir en un solo equipo profesionales honestos e implicados que se dedican en exclusiva a su especialidad y que aman su profesión. Nuestros pacientes son personas que valoran la calidad, que buscan profesionales altamente capacitados y buscan establecer un lazo de confianza para el cuidado de su salud dental.
Caso 16 Tratamiento con brackets de autoligado (Agenesias de segundos premolares)

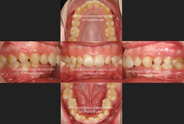
Paciente de 15 años que acude a nuestra consulta para «arreglarse el apiñamiento inferior«. En la primera visita observamos que presenta una clase II dental y esquelética, sobremordida muy aumentada, apiñamiento severo en la mandíbula; además se puede observar dos molares deciduos (de leche) siguen en la arcada inferior lo cual nos hace sospechar que el paciente puede tener varios problemas posibles como por ejemplo dientes retenidos o agenesias. Importante destacar que al paciente le gusta su estética facial y rechaza el tratamiento con cirugía ortognática.

La agenesia es la anomalía de todo o parte de un órgano al desarrollarse durante el crecimiento embrionario.
Reserva una consulta ahora y transforma tu salud dental.

Estudio de ortodoncia
En la ortopantomografía y en la radiografía lateral de cráneo pudimos realmente confirmar las agenesias de los segundos premolares inferiores (en las radiografías con círculos verdes).

Tratamiento de agenesia dentaria
En estos casos se puede optar por conservar los segundos molares de leche reduciendo su tamaño con stripping para que tengan el tamaño adecuado para un futuro implante; o decidir hacer la extracción de los molares de leche y cerrar los espacios, este último es un tratamiento más largo y complejo, sin embargo evita la necesidad de implantes en el futuro.
Por la cantidad de apiñamiento que presentaba el paciente y la curva de spee inferior decidimos junto con el paciente decantar por el tratamiento con extracción de primero premolares superiores y los segundos molares de leche y controlar muy bien la retrusión de los caninos e incisivos inferiores con microtornillos para no empeorar el perfil del paciente.
El tratamiento duró algo más de 2 años, pero el paciente ya no tendrá que colocarse implantes en el futuro y no hemos empeorado la salud de las encías.

Imágenes de comparación de antes y después del tratamiento de ortodoncia



El perfil del paciente no ha empeorado e incluso ha mejorado ligeramente la posición de los labios y el mentón.

[contacto]
Por: Clínica FriedlanderPaciente de 28 años de edad que presenta un ligero apiñamiento en la arcada inferior. La paciente nos comenta que quiere[...]
Por: Clínica Friedlander¡Descubre cómo lograr tu mejor sonrisa! Reserva una consulta ahora y transforma tu salud dental. Llámanos ahoraReserva una cita Tratamiento[...]
Por: Clínica FriedlanderEste caso es un retratamiento, es decir, un tratamiento de una recidiva de un antiguo tratamiento de ortodoncia. La paciente[...]
Por: Clínica FriedlanderTratamiento con ortodoncia fija y microtornillos (Mordida abierta) – Caso 42. Hoy presento un tratamiento de un paciente con mordida[...]
Por: Clínica Friedlander¡Descubre cómo lograr tu mejor sonrisa! Reserva una consulta ahora y transforma tu salud dental. Llámanos ahoraReserva una cita Tratamiento[...]
Por: Clínica FriedlanderPaciente de 12 años, acude con sus padres para «arreglarse la boca», presenta arcadas dentarias estrechas, apiñamiento moderado/severo y clase II (mandíbula[...]










No hay comentarios aún.