Clínica Friedländer nace de la inquietud de unir en un solo equipo profesionales honestos e implicados que se dedican en exclusiva a su especialidad y que aman su profesión. Nuestros pacientes son personas que valoran la calidad, que buscan profesionales altamente capacitados y buscan establecer un lazo de confianza para el cuidado de su salud dental.
Tratamiento con extracciones asimétricas (Mordida abierta, apiñamiento y traumatismo dental) – Caso 25

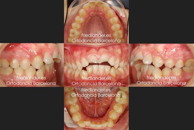
Este caso fue tratado con brackets de autoligado con 4 extracciones. Este paciente de 15 años acude a la consulta por un traumatismo dental en los incisivos superiores.

Debido al resalte que presentaba hay más probabilidad que, en caso de un golpe, se fracturen primero los incisivos centrales. Los incisivos fueron tratados con endodoncias y después con unas reconstrucciones provisionales se restauró la forma original de lo dientes.
Al poco tiempo el paciente volvió con las reconstrucciones rotas por la oclusión tan complicada que presentaba y pidió una solución para su boca.
En nuestra opinión el mejor tratamiento para este caso pasa por un tratamiento de ortodoncia ya sea con ortodoncia lingual invisible, Invisalign o cualquier otro tipo de ortodoncia. Le ofrecimos al paciente tratarse con ortodoncia y después arreglar los dientes anteriores con unas fundas de cerámica definitivas.

Al hacer el estudio de ortodoncia se observó una clase II una extrusión de los incisivos inferiores de unos 5-6mm con tendencia a una mordida abierta anterior, apiñamiento inferior moderado y una arcada superior y paladar estrecho. Una gran caries en el primer molar inferior del lado izquierdo.
El tratamiento fue planteado con extracciones para poder cerrar la mordida, mejorar la clase II y solucionar el apiñamiento. El plan de tratamiento consistió en extracciones asimétricas en la mandibular extrayendo el primer premolar inferior en el lado derecho y en el izquierdo extraer el primer molar con la enorme caries que presentaba y la retracción de los dientes con microtornillos. Aunque ortodócicamente hubiera sido más fácil hacer extracciones simétricas, en este caso al tener un diente que requiere una endodoncia decidimos extraer éste y no un diente sano.

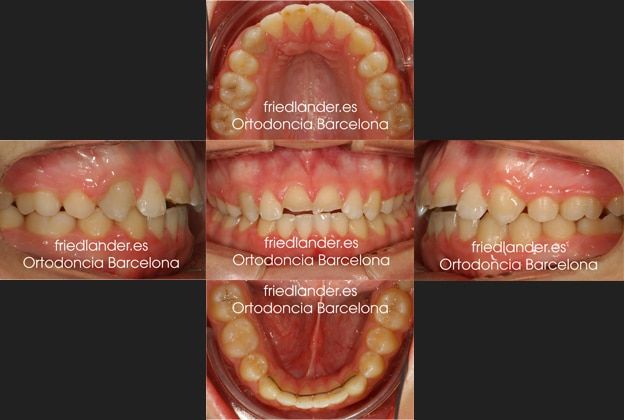
El resultado después de 24 meses de tratamiento con ortodoncia de autoligado. Se puede ver que nivelamos los márgenes gingivales para facilitar la rehabiliatación estética.

Al terminar la ortodoncia, los dos incisivos centrales fueron rehabilitados estéticamente con unas coronas de cerámica e-max.

Si quieres saber mas sobre las posibilidades de la ortodoncia y las coronas de cerámica no dudes en contactar conmigo en 932370287.
Por: Clínica Friedlander¡Descubre cómo lograr tu mejor sonrisa! Reserva una consulta ahora y transforma tu salud dental. Llámanos ahoraReserva una cita Tratamiento[...]
Por: Clínica FriedlanderEste caso es un retratamiento, es decir, un tratamiento de una recidiva de un antiguo tratamiento de ortodoncia. La paciente[...]
Por: Clínica FriedlanderPaciente de 12 años, acude con sus padres para «arreglarse la boca», presenta arcadas dentarias estrechas, apiñamiento moderado/severo y clase II (mandíbula[...]
Por: Clínica FriedlanderTratamiento con ortodoncia fija y microtornillos (Mordida abierta) – Caso 42. Hoy presento un tratamiento de un paciente con mordida[...]
Por: Clínica Friedlander¡Descubre cómo lograr tu mejor sonrisa! Reserva una consulta ahora y transforma tu salud dental. Llámanos ahoraReserva una cita Tratamiento[...]
Por: Clínica FriedlanderPaciente de 28 años de edad que presenta un ligero apiñamiento en la arcada inferior. La paciente nos comenta que quiere[...]







No hay comentarios aún.