Clínica Friedländer nace de la inquietud de unir en un solo equipo profesionales honestos e implicados que se dedican en exclusiva a su especialidad y que aman su profesión. Nuestros pacientes son personas que valoran la calidad, que buscan profesionales altamente capacitados y buscan establecer un lazo de confianza para el cuidado de su salud dental.
Tratamiento con ortodoncia lingual Invisible (Apiñamiento, Clase II y mordida abierta) – Caso 39

Tratamiento de 22 meses con ortodoncia lingual invisible Incognito y microtornillos – Solución de clase II con mordida abierta anterior
Este caso es el segundo (el primero es el caso 38) de una serie de tratamientos que realizamos con microtornillos desde la zona retromolar (la zona que está detrás de la última muela). Usando microtornillos, conseguimos solucionar muchos problemas con una filosofía de tratamiento un poco diferente. Este es el caso de Berta una paciente de 37 años que consulta para solucionar su problema dental.
Reserva una consulta ahora y transforma tu salud dental.

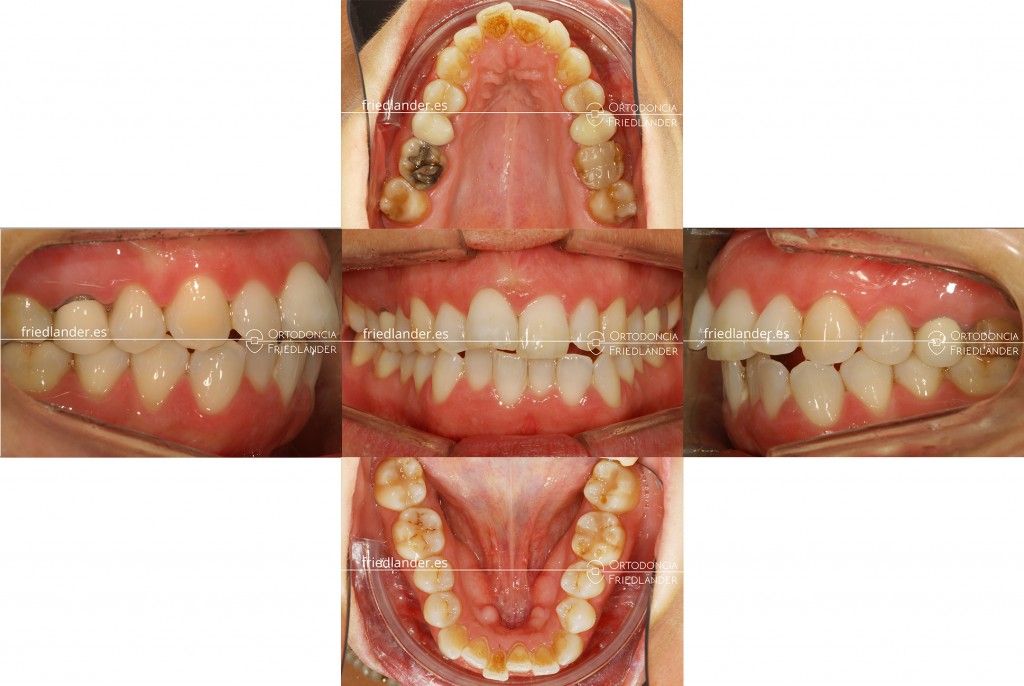
Primera visita
En la primera visita la paciente nos expuso sus preocupaciones; no le gustaba la estética de sus dientes apiñados y nos comentaba que no podía morder bien. En la primera exploración clínica podemos ver unas arcadas estrechas, apiñamiento inferior moderado y una tendencia a la mordida abierta anterior. A nivel funcional la paciente presenta una deglución atípica (la lengua empuja los dientes hacia fuera). La paciente escogió tratarse con ortodoncia lingual invisible ya que no quería que se vieran los aparatos en ningún momento.

Estudio de ortodoncia
Después de hacer el estudio de ortodoncia, hemos citado a la paciente para comentar el caso de nuevo. Estos casos, con a una clase II y tendencia a una mordida abierta, suelen ser caso «engañosos» ya que después de alinear los dientes, casi con total seguridad, la mordida se abre más y la mandíbula se va hacia atrás; esto significa que a los pocos meses un caso, aparentemente, sencillo y rápido se convierte en un caso muy complejo y en ocasiones quirúrgico. Si no se ha estudiado el caso correctamente y no se ha avisado a la paciente nos podemos encontrar con una sorpresa desagradable. esta es una de las razones por las que dedicamos mucho tiempo a los estudios de ortodoncia. Antes de iniciar el tratamiento avisamos a la paciente de que en caso necesario usaríamos microtornillos para solucionar la mordida abierta anterior y la clase II.
Tratamiento con ortodoncia lingual invisible – Sistema Incognito
Para iniciar la nivelación el alambre fue colocado en la ranura de atuoligado del sistema incognito señalada por las flechas verdes.

A los 5 meses de tratamiento podemos ver que, efectivamente, la mordida se abrió y la mandíbula se fue hacia atrás.

Estos efectos iniciales del tratamiento ya estaban previstos gracias al estudio minucioso del caso, por lo que procedemos a la colocación de 4 microtornillos en las zonas retro molares; los inferiores para retraer ligeramente la arcada inferior y los superiores para intruir y distalar los molares superiores (subir y llevar hacia atrás las muelas superiores) y así cerrar la mordida abierta.
Resultados
A los 22 meses de tratamiento conseguimos una buena clase I y cerrar del todo la mordida abierta anterior.

La paciente está muy contenta con los resultados de la ortodoncia y ahora esta pediente de cambiar alguna corona y hacer una pequeña fase estética.
Detalle de la nivelación de los dientes inferiores

También está en nuestros perfil de Instagram: https://www.instagram.com/p/9SzaPIKS6r/?taken-by=ortodonciafriedlander
Puedes leer más sobre la ortodoncia lingual invisible en: https://friedlander.es/lingual/
Por: Clínica FriedlanderTratamiento con ortodoncia fija y microtornillos (Mordida abierta) – Caso 42. Hoy presento un tratamiento de un paciente con mordida[...]
Por: Clínica FriedlanderPaciente de 28 años de edad que presenta un ligero apiñamiento en la arcada inferior. La paciente nos comenta que quiere[...]
Por: Clínica Friedlander¡Descubre cómo lograr tu mejor sonrisa! Reserva una consulta ahora y transforma tu salud dental. Llámanos ahoraReserva una cita Tratamiento[...]
Por: Clínica Friedlander¡Descubre cómo lograr tu mejor sonrisa! Reserva una consulta ahora y transforma tu salud dental. Llámanos ahoraReserva una cita Tratamiento[...]
Por: Clínica FriedlanderPaciente de 12 años, acude con sus padres para «arreglarse la boca», presenta arcadas dentarias estrechas, apiñamiento moderado/severo y clase II (mandíbula[...]
Por: Clínica FriedlanderEste caso es un retratamiento, es decir, un tratamiento de una recidiva de un antiguo tratamiento de ortodoncia. La paciente[...]







No hay comentarios aún.