Clínica Friedländer nace de la inquietud de unir en un solo equipo profesionales honestos e implicados que se dedican en exclusiva a su especialidad y que aman su profesión. Nuestros pacientes son personas que valoran la calidad, que buscan profesionales altamente capacitados y buscan establecer un lazo de confianza para el cuidado de su salud dental.
Tratamiento de mordida abierta severa con microtornillos y brackets de autoligado – caso 48

Reserva una consulta ahora y transforma tu salud dental.

Tratamiento de mordida abierta severa
Este paciente de ortodoncia fue tratado en nuestra clínica en Barcelona durante 20 meses con brackets de autoligado y microtornillos. En la primera visita acude el paciente, de uno 35 años, buscando una solución para la maloclusión de mordida abierta anterior severa que presenta. Se ha visitado en varias clínicas de ortodoncia en busca de solución y en todas ellas le han ofrecido un tratamiento de ortodoncia con cirugía ortognática.
Al ver la boca del paciente hemos decidido hacer el estudio de ortodoncia y decidir si podemos solucionarlos con o sin cirugía.

Estudio y planificación del tratamiento de ortodoncia
Al hacer el estudio de ortodoncia decidimos simular el tratamiento que planificamos y por esta razón retiramos los molares de los modelos superiores, que son los que tocan antes de los demás. Al subir, o eliminar en los modelos, los molares superiores la mordida se cierra. Midiendo la cantidad de intrusión posterior de los molares superiores vimos que con tan solo 3mm de intrusión posterior podemos cerrar la mordida. En nuestras manos hacer 3mm de intrusión posterior es muy factible si usamos microtornillos. (en los casos 47, 46, 42 y 39 se puede ver más casos de mordida abierta tratados con microtornillos)


El paciente aceptó nuestro plan de tratamiento y empezamos el tratamiento con brackets de autoligado y microtornillos solo en la arcada superior.

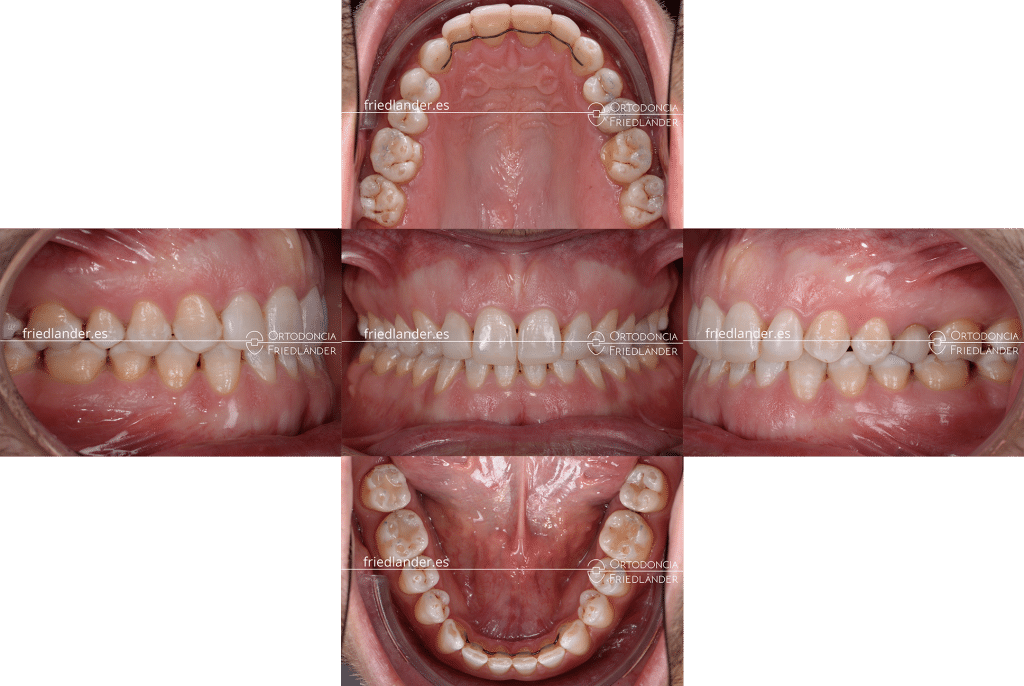
Resultado final del tratamiento de ortodoncia
Los resultados después de unos 20 meses de tratamiento son buenos, la mordida esta cerrada y el engranaje de los dientes posteriores es bueno.

Hemos añadido un poco de composite en los dientes desgastados para mejorar el engranaje de los dientes

Fotos de antes y después del perfil y la sonrisa


Si deseas que valoremos tu caso en persona, ponte en contacto con nosotros a través de este formulario
Por: Clínica FriedlanderPaciente de 12 años, acude con sus padres para «arreglarse la boca», presenta arcadas dentarias estrechas, apiñamiento moderado/severo y clase II (mandíbula[...]
Por: Clínica FriedlanderEste caso es un retratamiento, es decir, un tratamiento de una recidiva de un antiguo tratamiento de ortodoncia. La paciente[...]
Por: Clínica Friedlander¡Descubre cómo lograr tu mejor sonrisa! Reserva una consulta ahora y transforma tu salud dental. Llámanos ahoraReserva una cita Tratamiento[...]
Por: Clínica FriedlanderTratamiento con ortodoncia fija y microtornillos (Mordida abierta) – Caso 42. Hoy presento un tratamiento de un paciente con mordida[...]
Por: Clínica FriedlanderPaciente de 28 años de edad que presenta un ligero apiñamiento en la arcada inferior. La paciente nos comenta que quiere[...]
Por: Clínica Friedlander¡Descubre cómo lograr tu mejor sonrisa! Reserva una consulta ahora y transforma tu salud dental. Llámanos ahoraReserva una cita Tratamiento[...]







No hay comentarios aún.