Clínica Friedländer nace de la inquietud de unir en un solo equipo profesionales honestos e implicados que se dedican en exclusiva a su especialidad y que aman su profesión. Nuestros pacientes son personas que valoran la calidad, que buscan profesionales altamente capacitados y buscan establecer un lazo de confianza para el cuidado de su salud dental.
Encías inflamadas: Síntomas, causas y tratamientos.

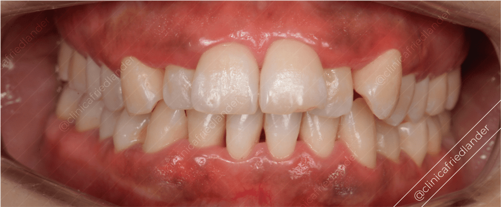
¿Sabias que el tener las encias inflamadas una de las enfermedades dentales mas normalizadas en la poblacion? Si preguntas a tus familiares y conocidos casi todos la han tenido alguna vez, uno de sus sintomas ademas de la inflamacion, es ver sangre en las encias o al cepillar los dientes.
- No es normal que tus encias sangren
- No es normal tener las encias rojas y que duelan
Estas poniendo en riesgo tu salud, y ya no solo la de tus dientes. Las enfermedades relacionadas con las encias estan estrechamente ligadas a enfermedades cardiovasculares, asi que pon atencion a este post, que te explicaremos todo lo necesario para actuar y dejar de sufrir por las encias inflamadas.
Reserva una consulta ahora y transforma tu salud dental.

¿Por que se inflaman las encias?
La causa principal de las encias inflamadas es la acumulacion de placa bacteriana, es decir, que no se ha realizado una correcta higiene oral diaria y las bacterias nocivas que viven naturalmente en nuestra boca se han multiplicado y han infectado a las encias causando inflamacion.
El espacio entre la encia y el diente tiene la forma ideal para retener placa bacteriana, pues se forma un escalon donde es facil que se acumulen restos de comida y placa bacteriana.
La inflamacion de las encias puede ser un sintoma de la enfermedad llamada gingivitis y tambien de la enfermedad periodontal, y que si no es tratada a tiempo puede provocar la perdida de dientes.
Otras de las causas de la inflamacion de encias (aunque en menor grado) son los cambios hormonales como el embarazo y adolescencia o por ciertos medicamentos.
¿Como se si mis encias estan inflamadas?
Tienes las encias rojas. Uno de los sintomas mas notorios cuando tus encias estan inflamadas es su color rojo brillante o morado, cuando lo saludable es que sea de un tono rosa palido, es de un tono rojizo parecido a un frambuesa madura.
Sangrado de las encias al cepillarse o usar hilo dental. El sintoma mas notorio es el sangrado, ya sea al morder alimentos duros que pasen rozando las encias, como puede ser darle un mordisco a una manzana o el mas comun al usar el hilo dental o cepillar los dientes.
Lo mas usual es pensar: me sangran las encias al cepillarme los dientes, puede que lo haya hecho muy fuerte, por cepillarme sangran y me duelen, tal vez es mejor que me deje de cepillar para que no me sangren mas… Pero esta accion solo empeora la situacion, te lleva a entrar en un ciclo vicioso porque al dejar de cepillar tus dientes, mas bacterias se acumulan y la enfermedad empeora.
Tienes las encias sensibles e incluso dolorosas al tacto. Las encias deben de ser firmes,
Mal aliento o halitosis. Este es otro de los sintomas mas habituales que van de la mano con las encias inflamadas.
Recesion de las encias. Cuando las encias han estado inflamadas durante mucho tiempo sin ser tratadas es probable que poco a poco vayan retrocediendo dejando ver la raiz del diente, esto entre otras molestias, puede provocar sensibilidad dental.¿Eres fumador/a? Es posible que tus encias estan enfermas pero la accion vasoconstrictora del tabaco no deje que se expresen los sintomas, es decir no notas la inflamacion, ni el cambio de color, ni el sangrado… o si lo notas es tan poco molesto que lo dejas pasar, pero eso no significa que tus encias no esten infectadas.

¿Que hacer con las encias inflamadas?
El tratamiento principal de las encias inflamadas es la higiene dental profesional para eliminar las bacterias acumuladas dentro entre el diente y la encia. Despues de la limpieza profesional las encias sanaran en un periodo de 10 a 14 dias, aunque si es un caso mas grave tomaran varias sesiones para eliminar la enfermedad que afecta a tus encias.
Como complemento es posible que te receten durante algunos dias enjuagues con un colutorio para apoyar el tratamiento en casa.
Prevencion
La buena noticia es que la enfermedad de las encias es 100% prevenible y solo implica que cuides de tus dientes 5 min al dia y que te realices una limpieza profesional una vez al ano o dependiendo de tu propension a acumular sarro cada seis meses.
En la limpieza profesional se usa un aparato que mediante ultrasonidos elimina el sarro y bacterias acumuladas en tu boca. Con este aparato es posible eliminar incluso la suciedad que se esconde debajo de tus encias, es indoloro y altamente efectivo.
Al tener las encias sensibles, puede que sientas un poco de dolor en la higiene (aunque es un proceso totalmente indoloro en una boca sana) si la molestia es mucha, tu dentista puede anestesiar localmente la zona para que no lo notes.
Para mantener lo resultados obtenidos despues de la higiene profesional, es necesario que cuides tus dientes cada dia en tu casa. Estas son nuestras recomendaciones para tu higiene oral diaria:
1- Elige las herramientas adecuadas:
- Cepillo de cerdas suaves y cabezal pequeno o cepillo electrico
- Pasta dental fluorada
- Hilo dental, flossers o irrigador dental
- Limpiador de lengua
2- Cepilla con movimientos circulares diente por diente en todas sus caras, haciendo especial enfasis en el espacio entre la encia y el diente. Lo que cuenta son la repeticiones no la fuerza con la que lo hagas, asi que cepilla por lo menos 20 veces cada diente.
3- Utiliza el hilo dental por lo menos una vez al dia para arrastrar hacia afuera las bacterias que se depositan entre tus dientes.
4- No te olvides de eliminar las bacterias de tu lengua antes de ir a dormir.
5- Repite tu higiene bucal 2 veces al dia (manana y noche) durante 2-3 minutos cada vez.

30 comentarios
Hola buenas doctor! tengo las encías super inflamadas, rojas y sangrantes, me duelen muchísimo y pienso que necesito hacer la limpieza para poder sanarlo, hasta que tenga la cita con el dentista, debería tener algún cuidado especial con los dientes? Para no perder la encía lavandomelos con la inflamacion?
Muchas gracias
Genial el post mucha ayuda
Hola, lo que puedes hacer hasta tu visita con el dentista para una higiene es cepillarlos 3 veces al día y pasar el hilo dental en cada higiene, también existen colutorios específicos de venta en farmacia que pueden ayudarte a controlar la carga bacteriana en boca. Esperamos que pronto te encuentres mejor! Un saludo y gracias por leernos! Clínica Friedlander
Hola doctor ami me duele la encía de abajo la traigo inflamada y hasta me duele todo el hueso de lada izquierdo que me recomienda
Hola Imelda, te recomendamos visitar al dentista. Un saludo y gracias por leernos! Clínica Friedlander
Ola cómo estás tengo la encía imflamada y el diente como que se soltó porfavor me ayudas con una opinión
Hola Melisa, te recomendamos una higiene dental profesional, es el primer paso para mejorar tu salud y que no pierdas ese diente. Saludos!